Răng mọc chen chúc là tình trạng răng mọc lệch, chồng chéo do cung hàm không đủ chỗ. Điều này không chỉ ảnh hưởng đến thẩm mỹ nụ cười mà còn gây khó khăn khi vệ sinh răng miệng, làm tăng nguy cơ sâu răng và viêm nướu. Cùng Nha khoa Cường Nhân tìm hiểu nguyên nhân, mức độ và giải pháp điều trị phù hợp trong bài viết dưới đây.
Nội dung bài viết
- 1 Răng mọc chen chúc là gì?
- 2 Phân độ răng mọc chen chúc theo tiêu chuẩn Orthodontics
- 3 Nguyên nhân gây răng mọc chen chúc
- 4 Tác hại của răng mọc chen chúc như thế nào ?
- 5 Khi nào nên điều trị? – “Thời điểm vàng” cho trẻ và giải pháp cho người lớn
- 6 Các phương pháp điều trị răng mọc chen chúc hiệu quả
- 7 Quy trình điều trị răng mọc chen chúc tại phòng khám nha khoa uy tín
- 8 Chăm sóc răng miệng khi bị răng mọc chen chúc & sau điều trị
- 9 Phòng ngừa răng mọc chen chúc (đặc biệt ở trẻ em)
- 10 Nha khoa Cường Nhân – đơn vị nha khoa uy tín tại Bình Dương
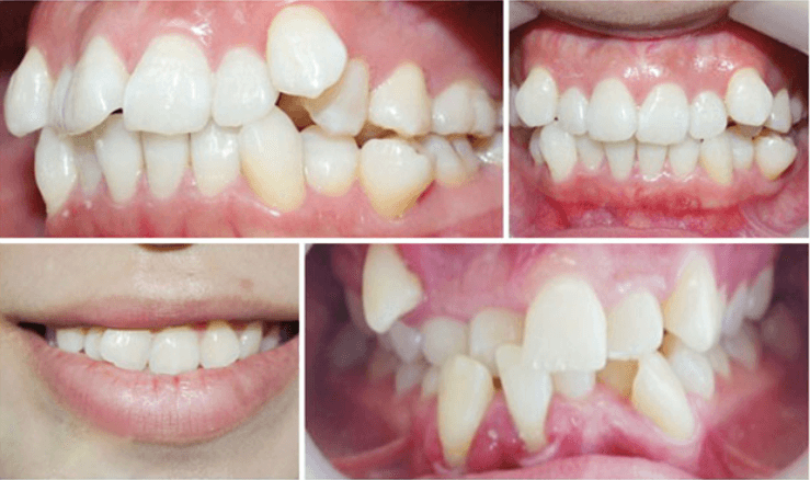
Răng mọc chen chúc là gì?
Răng mọc chen chúc là tình trạng thiếu khoảng trống trên cung hàm khiến răng không thể mọc thẳng hàng, dẫn đến hiện tượng lệch, nghiêng hoặc chồng chéo lên nhau. Đây là một trong những dạng sai lệch răng phổ biến, không chỉ ảnh hưởng đến thẩm mỹ khuôn mặt mà còn gây khó khăn khi ăn nhai và làm tăng nguy cơ mắc các bệnh lý răng miệng như sâu răng, viêm nướu hay viêm nha chu.

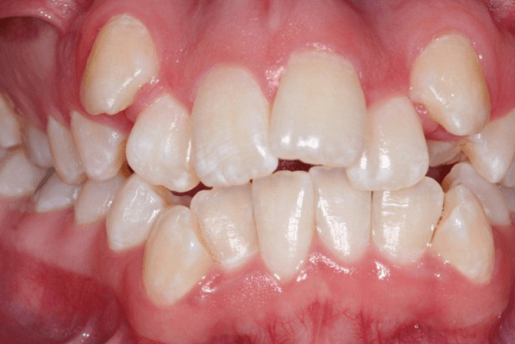
Phân độ răng mọc chen chúc theo tiêu chuẩn Orthodontics
Trong chỉnh nha, răng mọc chen chúc được phân loại dựa trên mức độ thiếu khoảng trống trên cung hàm. Việc phân độ răng mọc giúp cho bác sĩ lựa chọn được phương pháp điều trị phù hợp với từng loại răng:

Chen chúc nhẹ (<4mm)
Răng chỉ hơi lệch, xoay nhẹ, ít chồng chéo lên nhau. Với chen chúc nhẹ này thì thường có thể điều trị đơn giản bằng niềng răng trong thời gian ngắn.
Chen chúc trung bình (4–8mm)
Răng lệch rõ, chồng chéo nhiều hơn, ảnh hưởng đến thẩm mỹ và trong việc vệ sinh răng miệng. Về răng chen chúc này thì cần can thiệp chỉnh nha bài bản cùng với đó kết hợp với tạo khoảng.
Chen chúc nặng (>8mm)
Răng chen chúc nặng là các răng xô đẩy nhiều, khớp cắn sai lệch nghiêm trọng. Trong trường hợp này thường phải nhổ răng hoặc dùng khí cụ chuyên sâu để đạt được hiệu quả trong việc phục hồi.
Nguyên nhân gây răng mọc chen chúc
Răng mọc chen chúc nhau là tình trạng phổ biến có thể xuất hiện từ sớm và tiến triển nặng dần theo thời gian nếu không được can thiệp. Nguyên nhân gây răng chen chúc thường đến từ sự mất cân đối giữa kích thước cung răng và cung hàm, cũng như các yếu tố tác động trong quá trình phát triển:

Yếu tố di truyền – hàm nhỏ, răng to
Di truyền đóng vai trò quan trọng trong cấu trúc xương hàm và kích thước răng. Trường hợp cung hàm nhỏ nhưng răng có kích thước lớn sẽ không đủ khoảng trống để sắp xếp đều, dẫn đến răng mọc lệch, xoay hoặc chồng chéo lên nhau.
Thói quen xấu thời thơ ấu ảnh hưởng sự phát triển của hàm
Các thói quen như mút tay, đẩy lưỡi, cắn môi hay ngậm ti giả quá lâu có thể gây biến dạng cung hàm, khiến hàm phát triển không đúng hướng và gây chen chúc răng khi răng vĩnh viễn mọc lên.
Mất răng sữa quá sớm hoặc giữ răng sữa quá lâu
Răng sữa có vai trò giữ chỗ cho răng vĩnh viễn. Việc mất răng sữa sớm khiến các răng bên cạnh xô lệch, chiếm mất khoảng trống. Ngược lại, răng sữa không rụng đúng thời điểm sẽ cản trở răng vĩnh viễn mọc đúng vị trí, gây lệch lạc.
Ăn thức ăn quá mềm khiến hàm không phát triển đủ rộng
Chế độ ăn ít nhai, chủ yếu là thức ăn mềm trong giai đoạn phát triển có thể làm xương hàm kém phát triển, dẫn đến cung hàm hẹp và không đủ chỗ cho răng mọc thẳng hàng.
Bệnh lý răng miệng và chấn thương
Các bệnh lý như sâu răng nặng, viêm nha chu, u nang răng hoặc chấn thương vùng hàm mặt có thể làm thay đổi cấu trúc xương và vị trí răng, từ đó gây ra hoặc làm trầm trọng thêm tình trạng răng mọc chen chúc.
Tác hại của răng mọc chen chúc như thế nào ?
Răng mọc chen chúc không chỉ là vấn đề thẩm mỹ mà còn gây ra nhiều ảnh hưởng tiêu cực đến sức khỏe răng miệng và chất lượng cuộc sống nếu không được điều trị kịp thời. Sau đây Nha khoa Cường Nhân sẽ đưa ra các tác hại của răng mọc chen chúc là như thế nào. Cùng tìm hiểu phần dưới đây nhé.
Ảnh hưởng thẩm mỹ & sự tự tin
Răng mọc lệch, chồng chéo làm cho nụ cười kém hài hòa, khiến cho nhiều người cảm thấy tự ti khi giao tiếp với người khác, trò chuyện hay chụp ảnh.
Nguy cơ sâu răng – viêm nướu – viêm nha chu
Do răng chen chúc, các kẽ răng chật hẹp rất khó làm sạch bằng bàn chải và chỉ nha khoa. Mảng bám và vi khuẩn dễ tích tụ, lâu ngày dẫn đến sâu răng, viêm nướu, viêm nha chu và thậm chí mất răng sớm.

Sai lệch khớp cắn – giảm khả năng nhai đến tiêu hóa
Răng không thẳng hàng thường kéo theo khớp cắn lệch, làm lực nhai phân bố không đều. Thức ăn không được nghiền kỹ có thể gây áp lực lên dạ dày và hệ tiêu hóa, lâu dài sẽ ảnh hưởng đến sức khỏe tổng thể.
Nguy cơ rối loạn khớp thái dương hàm (TMJ)
Khớp cắn sai lệch khiến cho khớp thái dương hàm phải hoạt động quá mức, dễ gây đau hàm, mỏi cơ, kêu lạo xạo khi há miệng, đau đầu hoặc đau cổ vai gáy kéo dài.
Ảnh hưởng phát âm, giao tiếp và chất lượng cuộc sống
Răng mọc không đều có thể làm sai lệch vị trí lưỡi khi phát âm, khiến một số âm không trong tiếng. Điều này gây khó khăn trong giao tiếp, ảnh hưởng đến sinh hoạt hằng ngày và chất lượng cuộc sống.
Khi nào nên điều trị? – “Thời điểm vàng” cho trẻ và giải pháp cho người lớn
Việc điều trị răng mọc chen chúc đúng thời điểm sẽ giúp đạt hiệu quả cao, tiết kiệm thời gian và chi phí. Vậy đâu là “thời điểm vàng” để can thiệp cho trẻ em và liệu người trưởng thành còn có thể điều trị hay không? Cùng tìm hiểu chi tiết dưới đây nhé.

Độ tuổi lý tưởng điều trị ở trẻ em (6–12 tuổi)
Giai đoan 6-12 tuổi được xem là thời điểm vàng vì xương hàm còn mềm, răng dễ dịch chuyển. Điều trị lúc này giúp rút ngắn thời gian chỉnh nha, giúp giảm chi phí và đạt hiệu quả cao.
Người trưởng thành có còn niềng được không?
Người trưởng thành vẫn có thể niềng răng để cải thiện việc răng bị chen chúc. Tuy thời gian điều trị có thể lâu hơn trẻ em nhưng hiệu quả thẩm mỹ và chức năng ăn nhai vẫn rất tốt nếu thực hện đúng phác đồ.
Dấu hiệu cần khám ngay lập tức
Các dấu hiệu nhắc nhở bạn nên đi khám ngay lập tức là khi răng mọc chồng chéo nhiều, đau hàm khi nhai, khó vệ snh răng miệng, hay viêm nướu. Không chỉ vậy, sâu răng tái phát bạn cũng nên đi khám ngay lập tức để tìm ra các giải pháp phù hợp.
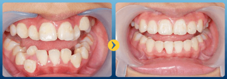
Các phương pháp điều trị răng mọc chen chúc hiệu quả
Hiện nay, việc điều trị răng mọc chen chú có rất nhiều phương pháp phổ biến. Nhưng tùy theo mức độ chen chúc của răng, cấu trúc xương hàm và mong muốn thẩm mỹ của mỗi người. Bác sĩ sẽ xây dựng phác đồ điều trị phù hợp. Cùng Nha khoa Cường Nhân tìm hiểu về các phương pháp điều trị nhé.
Niềng răng chỉnh nha
Niềng răng là phương pháp chỉnh nha phổ biến và hiệu quả nhất để đưa răng về đúng vị trí, khắc phục tình trạng chen chúc và sai khớp cắn. Giải pháp này không chỉ cải thiện thẩm mỹ nụ cười mà cò nâng cao chức năng ăn nhai và sức khỏe răng miệng lâu dài.
Chỉ định
Phù hợp với hầu hết các trường hợp răng chen chúc từ nhẹ đến nặng, áp dụng cho cả trẻ em (can thiệp sớm bằng khí cụ tháo lắp) và người trưởng thành, kể cả chỉnh đều răng trước khi bọc sứ.
Ưu điểm
- Hiệu quả cao, bảo tồn răng thật, không cần mài răng.
- Kết quả ổn định lâu dài, cải thiện khớp cắn.
- Nhiều lựa chọn: mắc cài kim loại, mắc cài sứ, tự buộc, niềng trong suốt.
- Đáp ứng nhu cầu thẩm mỹ, đặc biệt với niềng sứ và niềng trong suốt.
Nhược điểm
- Thời gian điều trị dài (12-24 tháng hoặc hơn).
- Giai đoạn đầu có thể gây khó chịu.
- Chi phí cao hơn với niềng răng trong suốt.

Nhổ răng tạo khoảng
Nhổ răng trong chỉnh nha là biện pháp hỗ trợ nhằm tạo khoảng trống để sắp xếp răng về đúng vị trí, giúp đạt thẩm mỹ và khớp cắn chuẩn. Đây không phải là phương án ưu tiên hàng đầu nưng rất cần thiết trong một số trường hợp nhất định.
Chỉ định
Áp dụng khi răng chen chúc nặng, cung hàm hẹp, răng mọc chồng chéo không còn chỗ sắp xếp, răng khôn mọc lệch gây cản trở chỉnh nha, hoa các ca hô, móm nặng cần tạo khoảng để cân đối răng và gương mặt.
Ưu điểm
- Tạo đủ khoảng trống để niềng răng đạt hiệu quả và ổn định.
- Không phải lúc nào cũng cần nhổ, nhiều trường hiện nay có thể điều trị không nhổ răng.
Nhược điểm
- Phải loại bỏ răng khỏe mạnh, dễ gây tâm lý lo lắng.
- Cần đánh giá chính xác cấu trúc hàm và gương mặt, kế hoạch sai có thể ảnh hưởng đến thẩm mỹ.
- Nếu thực hiện đúng kỹ thuật, nhổ răng chỉnh nha không ảnh hưởng đến chức năng ăn nhai.
Nong hàm – khí cụ chức năng cho trẻ em
Nong hàm là phương pháp chỉnh nha sử dụng các khí cụ chức năng để mở rộng cung hàm, tạo đủ khoảng trống cho răng mọc thẳng hàng ở trẻ em. Phương pháp này tận dụng giai đoạn xương hàm đang phát triển, giúp định hướng răng vĩnh viễn mọc đúng vị trí và ngăn ngừa răng chen chúc về sau.
Chỉ định
- Trẻ từ 6-12 tuổi có cung hàm hẹp.
- Răng chen chúc nhẹ hoặc lệch khớp cắn sớm.
- Muốn chuẩn hóa đường đi của răng vĩnh viễn và cải thiện thẩm mỹ sớm.
Ưu điểm
- Tăng không gian cho răng mọc, hạn chế nhổ răng về sau.
- Điều chỉnh khớp cắn và phát triển hàm hiệu quả.
- Thời gian can thiệp ngắn, ít đau và an toàn cho trẻ.
Nhược điểm
- Chỉ áp dụng cho trẻ em giai đoạn xương hàm đang phát triển.
- Cần theo dõi thường xuyên để điều chỉnh khí cụ đúng lộ trình.

Bọc răng sứ cho chen chúc nhẹ
Bọc răng sứ là giải pháp nhanh chóng và hiệu quả cho những ai muốn có hàm răng thẳng đều, cỉa thiện màu sắc và hình dáng răng, phù hợp với tình trạng chen chúc nhẹ. Phương pháp này mang lại nụ cười hài hòa, đẹp mắt mà không mất nhiều thời gian như niềng răng.
Chỉ định
Thích hợp cho răng chen chúc nhẹ, răng gãy, mẻ, ố vàng hoặc hô móm nhẹ. Người muốn cải thiện thẩm mỹ nhanh chóng mà không muốn trải qua quá trình niềng răng lâu dài.
Ưu điểm
- Hiệu quả nhanh, hoàn thiện trong vòng vài ngày.
- Thẩm mỹ cao, răng đều và đẹp, trắng sáng tự nhiên thậm chí chuẩn hơn răng thật.
- An toàn và ít đau, quy trình đạt chuẩn, vật liệu chất lượng không gây kích ứng.
- Đồ bền cao, răng sứ có tuổi thọ từ 7-10 năm, có thể lên tới 15 năm nếu chăm sóc tốt.
Nhược điểm
- Cần mài răng thật. Vì thế ảnh hưởng đến một phần cấu trúc răng.
- Tuổi thọ hữu hạn, sau 10-15 năm cần thay mới.
- Chi phí cao đặc biệt với răng sứ cao cấp.

Phẫu thuật hàm trong ca chen chúc do xương hàm bất cân xứng
Trong một số trường hợp răng mọc chen chúc nặng do xương hàm phát triển lệch, hẹp hoặc bất cân xứng, chỉ niềng răng thông thường sẽ không đủ để sắp xếp răng về đúng vị trí. Lúc này, phẫu thuật hàm được chỉ định nhằm điều chỉnh cấu trúc xương, tạo cân đối cho cung hàm và khớp cắn.
Chỉ định
- Chen chúc nặng kèm xương hàm hẹp, lệch, bất cân xứng.
- Khớp cắn sai nghiêm trọng (hô, móm, đối đầu răng trước) mà niềng răng đơn thuần không thể giải quyết.
- Muốn đạt hiệu quả thẩm mỹ tối ưu và chức năng nhai chuẩn.
Ưu điểm
- Điều chỉnh cấu trúc xương hàm, tạo nền tảng vững chắc cho răng mọc thẳng.
- Khắc phục triệt để tình trạng sai khớp cắn nặng.
- Cải thiện thẩm mỹ gương mặt và chức năng nhai lâu dài.
Nhược điểm
- Là phẫu thuật xâm lấn, cần gây mê và thời gian hồi phục.
- Chi phí cao hơn so với cá phương pháp chỉnh nha thông thường.
- Cần bác sĩ chuyên môn cao và kế hoạch điều trị kỹ lưỡng để đạt kết quả tối ưu
Quy trình điều trị răng mọc chen chúc tại phòng khám nha khoa uy tín
Điều trị răng mọc chen chúc tại các phòng khám uy tín được thực hiện theo quy trình bài bản, đảm bảo hiệu quả và độ an toàn cho bệnh nhân.
Thăm khám – chụp phim – phân tích cấu trúc hàm
Trước khi điều trị răng mọc chen chúc tại các phòng khám nha khoa, bác sĩ sẽ kiểm tra tổng quát tình trạng răng, nướu, khớp cắn và xương hàm. Các hình ảnh X-Quang, phim 3D giúp phân tích chính xác cấu trúc răng và mức độ chen chúc.
Đo khoảng thiếu chỗ – lập phác đồ điều trị cá nhân hóa
Sau khi đã có được hình ảnh về hàm răng thì bác sĩ sẽ phân tích, xác định răng nào acafn sắp xếp, răng nào có thể nhổ, lựa chọn phương pháp phù hợp. Mỗi bệnh nhân sẽ có kế hoạch điều trị riêng, đảm bảo kết quả tối ưu và thời gian điều trị hợp lý.
Tiến hành điều trị – theo dõi định kỳ
Thực hiện theo kế hoạch đã lập, bao gồm gắn mắc cài, niềng răng, bọc răng sứ hoặc nong hàm. Trong quá trình này, bác sĩ sẽ điều chỉnh định kỳ để răng dịch chuyển đúng lộ trình.
Tháo niềng – hàm duy trì – kiểm tra định kỳ
Khi răng đã thẳng đều, bác sĩ sẽ tháo niềng hoặc hoàn tất bọc sứ. Sử dụng hàm duy trì để giữ kết quả lâu dài, đồng thời tái khám định kỳ để đảm bảo khớp cắn và thẩm mỹ ổn định.
Chăm sóc răng miệng khi bị răng mọc chen chúc & sau điều trị
Để bảo vệ răng miệng và duy trì kết quả sau điều trị, bạn cần vệ sinh răng kỹ lưỡng bằng bàn chải lông mềm, chỉ nha khoa hoặc tăm nước, đặc biệt là ở các kẽ răng chen chúc. Không chỉ vậy, bạn cần thăm khám định kỳ 3-6 tháng/lần giúp phát hiện sớm dấu hiệu sâu răng, viêm nướu hoặc vấn đề khớp cắn.

Ngoài ra, bạn nên hạn chế ăn đồ ngọt, thức ăn dẻo và cứng để tránh làm hư hại răng hoặc khí cụ chỉnh nha. Sau khi điều trị, hãy tuân thủ hướng dẫn của bác sĩ, đeo hàm duy trì và tái khám đúng lịch để răng không dịch chuyển trở lại. Hãy nhớ sử dụng fluoride giúp răng chắc khỏe, bảo vệ mem răng và phòng ngừa sâu răng hiệu quả.
Phòng ngừa răng mọc chen chúc (đặc biệt ở trẻ em)
Để hạn chế răng mọc chen chúc ở trẻ, phụ huynh cần theo dõi sự phát triển răng sớm và hình thành thói quen chăm sóc răng miệng đúng cách. Khuyến khích trẻ vệ sinh răng đều đăn, hạn chế mút tay, đẩy lưỡi hoặc thói quen cắn môi, ăn đồ quá mềm. Ngoài ra, thăm khám nha khoa định kỳ từ 6 tuổi giúp phát hiện răng mọc lệch sớm, can thiệp kịp thời bằng khí cụ nong hàm hoặc chỉnh nha nhẹ, từ đó giúp cho hàm răng thẳng đều và khỏe mạnh.

Nha khoa Cường Nhân – đơn vị nha khoa uy tín tại Bình Dương
Răng mọc chen chúc không chỉ ảnh hưởng đến thẩm mỹ mà còn tiềm ẩn nhiều vấn đề sức khỏe răng miệng nếu không được điều trị kịp thời. Hiểu rõ nguyên nhân, mức độ và các phương pháp điều trị triệt để sẽ giúp bạn lựa chọn được giải pháp phù hợp, từ niềng răng, bọc răng sứ, nong hàm đến phẫu thuật hàm khi cần thiết. Đến với Nha khoa Cường Nhân, bạn sẽ được tư vấn chi tiết và điều trị hiệu quả, mang lại hàm răng đều đẹp, khớp cắn chuẩn và nụ cười tự tin lâu dài.
- Răng mọc chen chúc là gì? Nguyên nhân, mức độ và cách điều trị triệt để - Tháng 12 15, 2025
- Nong hàm là gì? Toàn bộ những điều bạn cần biết - Tháng 12 8, 2025
- Hàm Duy Trì Là Gì? Tác Dụng, Phân Loại, Cách Sử Dụng - Tháng 12 8, 2025
