Răng thưa là tình trạng các răng mọc cách xa nhau, tạo ra những khoảng trống kém thẩm mỹ và dễ giắt thức ăn. Nếu không được điều trị sớm, rằng thưa có thể làm tăng nguy cơ sâu răng, viêm nướu, sai khớp cắn và ảnh hưởng đến quá trình ăn nhai cũng như sự tự tin lâu dài. Vì vậy, việc tìm hiểu về các phương pháp điều trị răng phù hợp là điều cần thiết để cải thiện thẩm mỹ cá nhân. Cùng theo dõi bài viết dưới đây để có thêm thông tin chi tiết và phù hợp nhất cho bạn.

Nội dung bài viết
- 1 Răng thưa là gì? Nhận biết chính xác theo góc nhìn nha khoa
- 2 Răng thưa có nguy hiểm không? Những tác hại thường bị bỏ qua
- 3 Nguyên nhân gây răng thưa thường gặp hiện nay
- 4 Phân loại tình trạng răng thưa theo từng cấp độ
- 5 Răng thưa có tự khít lại không?
- 6 Có nên tự khắc phục răng thưa tại nhà không ?
- 7 Các phương pháp giúp điều trị răng thưa
- 8 Nên chọn phương pháp nào theo tình trạng răng thưa ?
- 9 Nha khoa Cường Nhân – đơn vị nha khoa uy tín bậc nhất Bình Dương
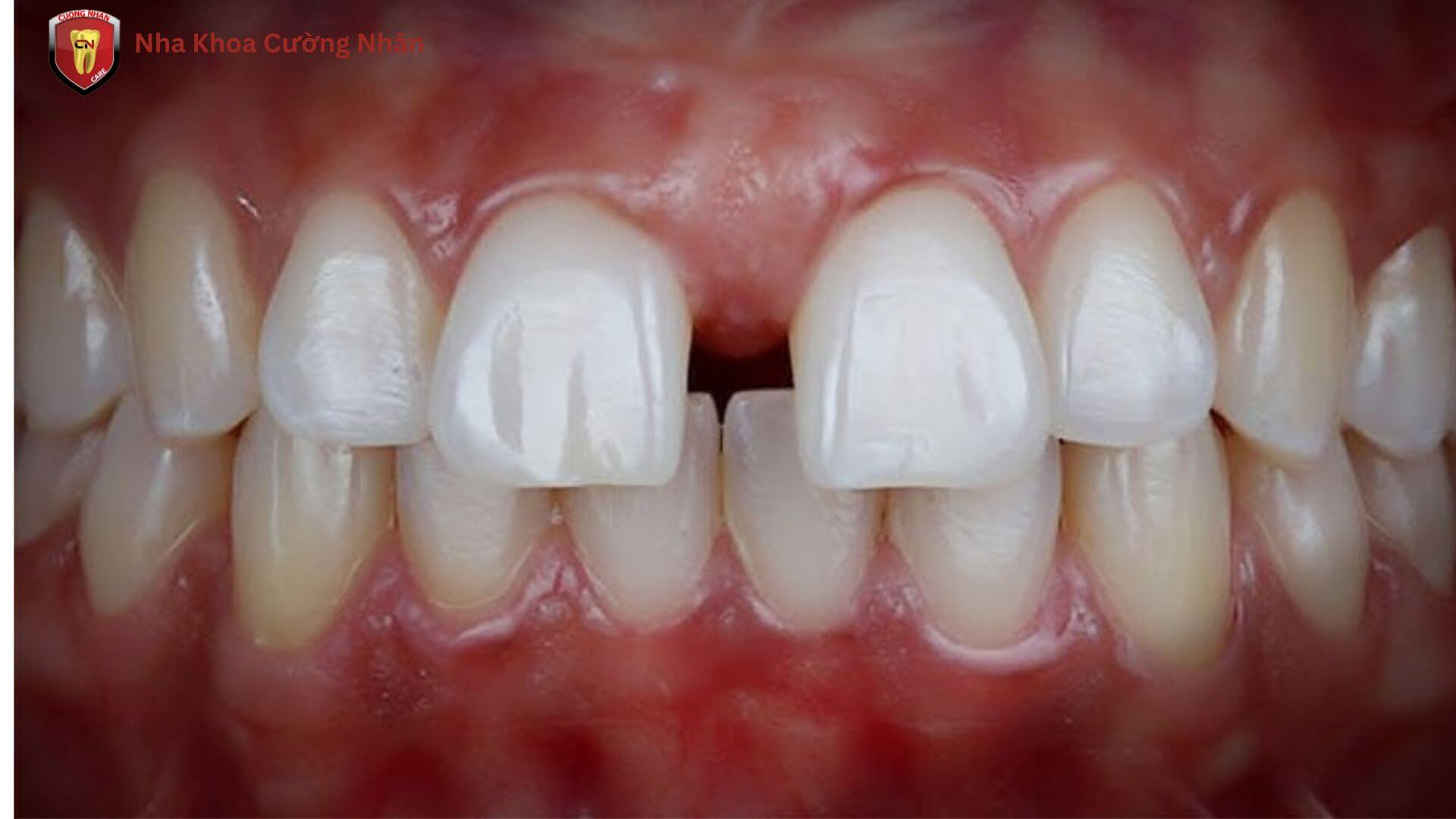
Răng thưa là gì? Nhận biết chính xác theo góc nhìn nha khoa
Răng thưa là hiện tượng các răng trên cung hàm không khít sát với nhau, tạo nên những khe hở nhất định, thường dễ nhận thấy ở vùng răng cửa. Các khoảng trống này có thể rất nhỏ hoặc khá rõ, gây ảnh hưởng đến vẻ ngoài khuôn mặt và khả năng ăn nhai hằng ngày.

Răng thưa không chỉ xuất hiện ở trẻ em giai đoạn thay răng, mà nó còn gặp khá nhiều ở người trưởng thành do yếu tố bẩm sinh, thói quen xấu hoặc sự thay đổi của cấu trúc cung hàm răng theo thời gian. Đây là tình trạng răng miệng phổ biến và hiện nay có thể được khắc phục hiệu quả bằng nhiều giải pháp nha khoa hiện đại như chỉnh nha, phục hình thẩm mỹ hoặc dán venner.
Răng thưa có nguy hiểm không? Những tác hại thường bị bỏ qua
Răng thưa không phải là bệnh lý nguy hiểm cấp tính, tuy nhiên nếu không được quan tâm và điều trị đúng cách thì tình trạng này có thể gây ra nhiều hậu quả lâu dài cho sức khỏe răng miệng cũng như chất lượng cuộc sống.

Ảnh hưởng đến thẩm mỹ khuôn mặt và nụ cười
Tác hại nổi bật nhất của răng thưa đó chính là làm giảm tính thẩm mỹ của nụ cười đặc biệt là ở răng cửa. Nhiều người cảm thấy tự ti khi giao tiếp, cười nói, từ đó ảnh hưởng trực tiếp đến tâm lý đến công việc và cả các mối quan hệ xã hội.
Tăng nguy cơ bệnh lý răng miệng (sâu răng, viêm nha chu)
Các khe hở giữa răng khiến cho thức ăn rất dễ mắc lại nhưng khó làm sạch hoàn toàn bằng bàn chải thông thường. Lâu dần, vi khuẩn sẽ tích tụ gây ra sâu răng, viêm nướu, chảy máu chân răng và hôi miệng.
Ảnh hưởng khớp cắn, lực nhai và hệ tiêu hóa
Răng thưa có thể làm lực nhai phân bố không đều trên cung hàm, từ đó dẫn đến sai khớp cắn. Nếu tình trạng này kéo dài thì người bệnh có thể sẽ mỏi hàm, đau khớp thái dương – hàm và việc ăn nhai sẽ kém hiệu quả.
Răng thưa có làm răng dễ lung lay, rụng sớm không?
Răng thưa có thể làm răng dễ lung lay và rụng sớm nếu không điều trị kịp thời. Các khoảng hở giữa răng khiến cho thức ăn và vi khuẩn tích tụ, lâu ngày gây viêm nướu, tụt nướu và tiêu xương ổ răng. Khi mô nâng đỡ răng suy yếu, răng dần mất độ chắc chắn, dễ lung lay và tăng nguy cơ mất răng sớm.
Nguyên nhân gây răng thưa thường gặp hiện nay
Răng thưa có thể xuất phát từ nhiều nguyên nhân khác nhau, bao gồm yếu tố bẩm sinh, quá trình phát triển răng xương hàm không cân đối hoặc các thói quen xấu kéo dài. Cùng Nha khoa Cường Nhân theo dõi tiếp phần dưới đây để hiểu được các nguyên nhân gây răng thưa hiện nay:
Nguyên nhân bẩm sinh và di truyền
Răng thưa có thể hình thành ngay từ khi sinh ra do nhiều yếu tố di truyền và bất thường trong quá trình phát triển răng – xương hàm. Một số trường hợp răng sữa hoặc răng vĩnh viễn mọc sai vị trí, lệch hướng khiến các răng không thể khít sát với nhau

Bên cạnh đó, tình trạng thiếu răng bẩm sinh làm số lượng răng không đủ trên cung hàm cũng tạo ra các khoảng trống rõ rệt. Ngoài ra, răng mọc ngầm, mọc ngược hoặc không trồi lên đúng thời điểm sẽ khiến sự phân bố răng mất cân đối, từ đó dẫn đến hiện tượng răng thưa.
Nguyên nhân do bệnh lý răng miệng
Một số bệnh lý răng miệng không chỉ ảnh hưởng đến sức khỏe răng – nướu mà còn là nguyên nhân khiến răng bị xô lệch, tạo khe hở và dẫn đến tình trạng răng thưa:
Viêm nha chu
Viêm nha chu là bệnh lý viêm nhiễm nghiêm trọng ở các mô nâng đỡ răng, bao gồm nướu, dây chằng quanh răng và xương ổ răng. Khi bệnh tiến triển, các mô này bị phá hủy, làm giảm khả năng giữ răng chắc chắn trên cung hàm. Vì vậy, sẽ khiến cho răng trở nên lỏng lẻo, dễ di chuyển khởi vi trí ban đầu và dần hình thành các khoảng trống giữa các răng.

Sâu răng
Sâu răng xảy ra khi vi khuẩn tấn công men và ngà răng, làm răng bị tổn thương cấu trúc. Nếu sâu răng hông được điều trị kịp thời, răng có thể bị mẻ, vỡ hoặc mất một phần thân răng. Điều này khiến các răng kế cận nghiêng lệch về khoảng trống, từ đó gây thưa răng và ảnh hưởng đến khớp cắn.
Tiêu xương ổ răng
Là tình trạng xương hàm bị tiêu dần do viêm nhiễm, mất răng lâu ngày hoặc các bệnh lý nha chu kéo dài. Khi xương ổ răng suy giảm, răng không còn nền tảng nâng đỡ vững chắc dễ bị xê dịch, lung lay và tạo khe hở rõ rệt trên cung hàm.

Do xu hướng dịch chuyển tự nhiên của răng theo thời gian
Răng thưa có thể xuất hiện do yếu tố di truyền như thiếu răng bẩm sinh, răng mọc lệch, mọc ngầm hoặc không mọc đúng vị trí. Những bất thường này khiến các răng không khít sát với nhau, tạo khoảng trống rên cung hàm ngay từ đầu.
Do thói quen sinh hoạt sai cách (tăm, đẩy lưỡi, đánh răng mạnh)
Một số thói quen sinh hoạt hằng ngày tưởng chừng vô hại nhưng lại là nguyên nhân tiềm ẩn khiến răng ngày càng thưa. Việc dùng tăm xỉa răng thường xuyên có thể làm tổn thương đến nướu và tạo khe hở giữa các răng. Không chỉ vậy, khi bạn đánh răng với lực quá mạnh trong thời gian dài dễ gây mòn cổ răng, tụt nướu, từ đó làm khoảng cách giữa răng rộng hơn.

Ngoài ra, việc thở bằng miệng hoặc sử dụng chỉ nha khoa cũng có thể ảnh hưởng đến cấu trúc răng – nướu, góp phần làm răng bị xô lệch và thưa dần theo thời gian.
Phân loại tình trạng răng thưa theo từng cấp độ
Việc phân loại răng thưa tùy theo mức độ giúp bác sĩ dễ dàng đánh giá tình trạng răng miệng và tư vấn phương pháp điều trị phù hợp. Dưới đây Nha khoa Cường Nhân sẽ phân loại tình trạng răng thưa theo từng cấp độ:
Răng thưa nhẹ (khe hở nhỏ ≤ 1–2mm)
Đây là mức độ răng thưa phổ biến và dễ khắc phục nhất. Các khe hở giữa răng khá nhỏ, thường chỉ nhận thấy khi nhìn kỹ, ít ảnh hưởng đến chức năng ăn nhai và sức khỏe răng miệng. Tuy nhiên, răng thưa nhẹ vẫn có thể làm giảm thẩm mỹ nụ cười nếu xuất hiên ở răng cửa.

Răng thưa mức độ trung bình
Ở mức độ này, khoảng hở giữa các răng đã rõ ràng hơn và dễ nhận thấy khi giao tiếp. Thức ăn dễ mắc vào kẽ răng, làm tăng nguy cơ viêm nướu, sâu răng và hôi miệng. Răng thưa trung bình có thể ảnh hưởng đến cả thẩm mỹ lẫn chức năng ăn nhai.

Răng thưa nặng / răng thưa do thiếu răng
Đây là tình trạng răng thưa nghiêm trọng, khoảng trống lớn giữa các răng hoặc xuất hiện do thiếu răng bẩm sinh, mất răng lâu ngày. Không chỉ ảnh hưởng nặng nề đến thẩm mỹ khuôn mặt, răng thưa nặng còn gây sai khớp cắn, khó ăn nhai và có nguy cơ tiêu xương hàm nếu không điều trị kịp thời.

Răng thưa có tự khít lại không?
Rằng thưa hầu như không thể tự khít lại, đặc biệt là ở người trưởng thành. Khi răng đã ổn định, các khe hở sẽ không tự đóng nếu không can thiệp nha khoa, thậm chí còn có xu hướng rộng hơn theo thời gian.

Nhưng đối với trẻ em răng thưa nhẹ đôi khi có thể cải thiện khi thay răng nhưng vẫn cần theo dõi thường xuyên của bác sĩ. Vì vậy để khắc phục răng thưa hiệu quả, nên thăm khám sớm và lựa chọn phương pháp điều trị phù hợp.
Có nên tự khắc phục răng thưa tại nhà không ?
Răng thưa không chỉ làm giảm thẩm mỹ nụ cười mà còn ảnh hưởng đến khả năng ăn nhai. Do chi phí chỉnh nha và các phương phá nha khoa tương tối cao, nhiều người tìm đến các cách khắc phục răng thưa tại nhà. Gần đây, trên mạng xã hội lan truyền các mẹo như dùng dây chun hoặc tác động lực bằng tay với hy vọng làm răng khít lại.
Tuy nhiên, các phương pháp này chưa được kiểm chứng và tiềm ẩn nhiều rủi ro cho sức khỏe răng miệng.
Chữa răng cửa thưa bằng dây thun
Nhiều người cho rằng, lực kéo của dây chun sẽ giúp thu nhỏ kẽ răng thưa nhanh chóng. Cách thực hiện như sau:
- Chuẩn bị 1 sợi dây chun dai và chắc, có độ đàn hồi tốt và đặt vào kẽ răng.
- Giữ nguyên dây chun trên 2 răng cửa sau 15 phút rồi bỏ ra
- Người sử dụng có thể tăng dần thời gian giữ dây trên răng nếu đã quen với phương pháp này.

Dùng lực tay nắn chỉnh răng thưa cho trẻ em
Nhiều người cho rằng do xương hàm trẻ em còn mềm nên có thể dùng tay tác động để làm răng cửa khít lại. Tuy nhiên, theo nhận định của các bác sĩ, phương pháp này không có cơ sở khoa học, hiệu quả không được kiểm chứng và tiềm ẩn nguy cơ làm răng lệch, tổn thương nướu hoặc ảnh hưởng mầm răng. Đây chỉ là mẹo lan truyền trên mạng và không được khuyến cáo áp dụng.
Tóm lại, các cách tự khắc phục răng thưa tại nhà như dùng lực tay hay dây chun không có cơ sở khoa học, hiệu quả không được kiểm chứng và có thể gây hại cho răng, nướu cũng như khớp cắn. Việc tác động lực sai cách còn làm răng lệch nhiều hơn, tăng nguy cơ viêm nướu và lung lay răng.
Để an toàn và hiệu quả lâu dài, bạn nên thăm khám tại các cơ sở Nha khoa uy tín. Nha khoa Cường Nhân với đội ngũ bác sĩ giàu kinh nghiệm, trang thiết bị hiện đại và phác đồ điều trị cá nhân hóa sẽ giúp bạn xác định tình trạng răng thưa và lựa chọn phương pháp điều trị phù hợp.
Các phương pháp giúp điều trị răng thưa
Tùy vào mức độ răng thưa và nguyên nhân, bác sĩ sẽ tư vấn phương pháp điều trị phù hợp để đảm bảo thẩm mỹ và chức năng ăn nhai. Dưới đây, Nha khoa Cường Nhân sẽ đem đến cho bạn các phương pháp giúp điều trị răng thưa chuẩn nha.
Trám răng thưa – phù hợp với ai?
Trám răng thưa phù hợp với trường hợp khe hở nhỏ, răng đều và không sai khớp cắn.
Ưu điểm
- Chi phí thấp, thực hiện nhanh
- Cải thiện thẩm mỹ tức thì
- Không xâm lấn nhiều đến răng thật
Nhược điểm
- Độ bền không cao, dễ bong tróc
- Chỉ phù hợp khe hở nhỏ
- Không khắc phục được sai khớp cắn

Dán sứ Veneer – bảo tồn răng thật
Dán sứ Veneer là giải pháp thẩm mỹ hiện đại, chỉ mài rất ít hoặc có thê là không mài răng.
Ưu điểm
- Bảo tồn răng thật tối đa
- Tính thẩm mỹ cao, răng tự nhiên
- Độ bền tốt nếu chăm sóc đúng cách
Nhược điểm
- Chi phí cao hơn trám răng
- Chỉ phù hợp răng thưa nhẹ – trung bình
- Yêu cầu kỹ thuật bác sĩ cao

Bọc răng sứ – khi nào nên, khi nào không?
Bọc răng sứ thường được áp dụng khi răng thưa kèm răng xỉn màu, mẻ vỡ hoăc hình dáng răng xấu. Tuy nhiên, do cần mài răng thật nên không phải là lựa chọn ưu tiên nếu răng còn khỏe mạnh.
Ưu điểm
- Cải thiện nhanh hình dáng và màu răng
- Độ bền cao
- Phù hợp răng thưa kèm răng yếu, mẻ, xỉn màu
Nhược điểm
- Cần mài răng thật
- Không phù hợp răng còn khỏe mạnh
- Chi phí tương đối cao

Niềng răng thưa – giải pháp toàn diện nhất
Niềng răng là phương pháp tối ưu cho răng thưa mức độ vừa đến nặng và kèm sai khớp cắn. Niềng giúp răng dịch chuyển về đúng vị trí, cải thiện cả thẩm mỹ lẫn chức năng ăn nhai, có hiệu quả lâu dài.
Ưu điểm
- Giải quyết răng thưa tận gốc
- Cải thiện khớp cắn và chức năng ăn nhai
- Hiệu quả lâu dài, bảo tồn răng thật
Nhược điểm
- Thời gian điều trị dài
- Cần tuân thủ lịch tái khám
- Chi phí cao hơn so với trám răng

Trồng răng Implant (khi răng thưa do mất răng)
Trường hợp răng thưa do mất răng lâu ngày, trồng răng implant là giải pháp hiệu quả. Implant giúp khôi phục răng đã mất, ngăn tiêu xương hàm và hạn chế răng xô lệch và thưa thêm theo thời gian.
Ưu điểm
- Phục hồi răng đã mất như răng thật
- Ngăn tiêu xương hàm
- Ngăn răng xô lệch, thưa thêm
Nhược điểm
- Chi phí cao
- Thời gian điều trị kéo dài
- Cần đủ sức khỏe xương hàm để ấy ghép

Nên chọn phương pháp nào theo tình trạng răng thưa ?
Việc lựa chọn phương pháp điều trị răng thưa không thể áp dụng chung cho tất cả các trường hợp, mà cần dựa trên nhiều yếu tố như mức độ thưa răng, nguyên nhân gây thưa, tình trạng răng miệng tổng thể cũng như nhu cầu thẩm mỹ và khả năng tài chính của từng người. Dưới đây, Nha khoa Cường Nhân đưa ra các gợi ý điều trị phù hợp theo từng tình trạng răng thưa cụ thể.
Trường hợp răng thưa nhẹ
Với những trường hợp răng thưa mức độ nhẹ, khe hở nhỏ và không ảnh hưởng đến khớp cắn, các phương pháp phục hình thẩm mỹ thường được ưu tiên. Trong đó, trám răng thưa là giải pháp cải thiện nhanh chóng, chi phí hợp lý và thời gian thực hiện ngắn. Phương pháp này phù hợp với những ai mong muốn khắc phục khuyết điểm trong thời gian ngắn.
Bên cạnh đó, nếu yêu cầu cao hơn về thẩm mỹ và độ bền lâu dài, dán sứ Veneer là lựa chọn tối ưu. Veneer giúp che phủ khe hở hiệu quả, đồng thời mang lại màu sắc và hình dáng răng tự nhiên, hài hòa với tổng thể khuôn mặt.
Trường hợp răng thưa mức độ trung bình
Răng thưa mức độ trung bình thường có khe hở rõ hơn và có thể ảnh hưởng đến thẩm mỹ khi giao tiếp. Với tình trạng này, dán sứ Veneer hoặc niềng răng đều là những phương án phù hợp.
Veneer mang lại hiệu quả thẩm mỹ nhanh chóng, giúp răng đều đẹp trong thời gian ngắn. Trong khi đó, niềng răng là giải pháp điều chỉnh răng về vị trí tự nhiên trên cung hàm, giúp đóng kín khe thưa một cách từ từ và duy trì kết quả ổn định lâu dài. Phương pháp này đặc biệt phù hợp với những trường hợp muốn bảo tồn răng thật tối đa.
Trường hợp răng thưa nặng kèm sai khớp cắn
Đối với các trường hợp răng thưa mức độ nặng, kèm theo tình trạng sai khớp cắn, niềng răng chỉnh nha được đánh giá là giải pháp tối ưu và toàn diện nhất. Phương pháp này không chỉ giúp khép kín các khe hở giữa các răng, mà còn cân chỉnh lại khớp cắn, cải thiện chức năng ăn nhai và hạn chế các vấn đề răng miệng về lâu dài.
Niềng răng trong trường hợp này cần được lên phác đồ điều trị chi tiết, đảm bảo quá trình dịch chuyển răng diễn ra an toàn và hiệu quả.
Trường hợp răng thưa do mất răng
Nếu răng thưa xuất phát từ nguyên nhân mất răng, việc khắc phục không chỉ dừng lại ở yếu tố thẩm mỹ mà còn cần bảo vệ cấu trúc xương hàm. Trong trường hợp này, trồng răng Implant là giải pháp được ưu tiên hàng đầu. Implant giúp thay thế răng đã mất, ngăn ngừa tình trạng tiêu xương hàm và hạn chế hiện tượng xô lệch của các răng kế cận.
Sau khi trồng Implant, bác sĩ có thể kết hợp thêm các phương pháp chỉnh nha hoặc phục hình khác nếu cần, nhằm đảm bảo hàm răng ổn định và cân đối lâu dài.
Nha khoa Cường Nhân – đơn vị nha khoa uy tín bậc nhất Bình Dương
Nha khoa Cường Nhân là một trong những đơn vị nha khoa uy tín tại Bình Dương, được đông đảo khách hàng tin tưởng lựa chọn trong điều trị răng thưa cũng như nhiều vấn đề răng miệng khác. Với định hướng lấy chuyên môn và sự an toàn của khách hàng làm trọng tâm, phòng khám không ngừng đầu tư vào chất lượng dịch vụ, con người và hệ thống trang thiết bị nhằm mang đến hiệu quả điều trị tối ưu cho từng trường hợp cụ thể.
Tại Nha khoa Cường Nhân, khách hàng được trực tiếp thăm khám và điều trị bởi đội ngũ bác sĩ giàu kinh nghiệm, có nền tảng chuyên môn vững chắc và luôn cập nhật các phương pháp nha khoa hiện đại. Mỗi ca điều trị đều được xây dựng phác đồ rõ ràng, cá nhân hóa theo tình trạng răng, nhu cầu thẩm mỹ và khả năng tài chính, thay vì áp dụng một giải pháp chung cho tất cả khách hàng.
Nếu bạn đang băn khoăn trong việc lựa chọn phương pháp điều trị răng thưa hoặc mong muốn tìm một địa chỉ nha khoa đáng tin cậy tại Bình Dương, việc thăm khám trực tiếp sẽ giúp bác sĩ đánh giá chính xác tình trạng răng miệng và đưa ra hướng điều trị phù hợp. Đây chính là bước quan trọng để bạn xây dựng một nụ cười tự tin, khỏe mạnh và bền vững lâu dài.
- Răng số 18 là gì? Có nên nhổ không và những điều cần biết trước khi quyết định - Tháng 4 13, 2026
- Răng số 18 là gì? Có nên nhổ không và những điều cần biết trước khi quyết định - Tháng 4 13, 2026
- Răng số 9 là gì? Có nguy hiểm không và có nên nhổ không? - Tháng 4 5, 2026
