Răng số 6 là chiếc răng hàm mọc rất sớm, thường vào khoảng 6–7 tuổi, nhưng lại dễ bị bỏ quên vì nhiều phụ huynh nhầm đây là răng sữa. Trong khi đó, chiếc răng này chỉ mọc một lần duy nhất, giữ vai trò chính trong ăn nhai và góp phần ổn định khớp cắn.
Nếu bạn đang băn khoăn răng số 6 có quan trọng không, có thay không, sâu có nên nhổ hay cần phục hồi thế nào, bài viết dưới đây của Nha khoa Cường Nhân sẽ giúp bạn hiểu rõ từ gốc đến ngọn.
Nội dung bài viết
- 1 Răng số 6 là răng nào? Vị trí trên cung hàm
- 2 Cấu tạo của răng số 6
- 3 Răng số 6 có mấy chân – mấy ống tủy?
- 4 Răng số 6 mọc khi nào? Có thay không?
- 5 Vai trò của răng số 6 đối với toàn hàm
- 6 Vì sao răng số 6 dễ bị sâu nhất?
- 7 Các vấn đề thường gặp ở răng số 6
- 8 Răng số 6 bị sâu có nên nhổ không?
- 9 Mất răng số 6 có nguy hiểm không?
- 10 Các phương pháp phục hồi răng số 6
- 11 So sánh các phương pháp phục hồi răng số 6
- 12 Nhổ răng số 6 có nguy hiểm không?
- 13 Sau khi nhổ răng số 6, bao lâu thì lành?
- 14 Khi nào cần đi nha khoa kiểm tra răng số 6?
- 15 Cách chăm sóc răng số 6 đúng cách
- 16 Câu hỏi thường gặp về răng số 6
- 17 Kết luận
Răng số 6 là răng nào? Vị trí trên cung hàm

Răng số 6 là răng hàm lớn thứ nhất, còn được nhiều người gọi là răng cấm hoặc răng cối lớn. Khi đếm từ răng cửa giữa vào trong, đây là chiếc răng nằm ở vị trí thứ sáu trên mỗi cung hàm. Vì vậy, mỗi người bình thường sẽ có bốn răng số 6, gồm hai chiếc ở hàm trên và hai chiếc ở hàm dưới.
Cụ thể hơn, trong cách gọi theo ký hiệu nha khoa, răng số 6 hàm trên bên phải là răng 16, hàm trên bên trái là răng 26. Tương tự, hàm dưới bên trái là răng 36 và hàm dưới bên phải là răng 46. Vị trí của răng số 6 nằm ngay sau răng số 5 và phía trước răng số 7. Đây là vị trí trung gian rất quan trọng, vì nó vừa tiếp nhận lực nhai lớn, vừa làm điểm tựa cho các răng phía sau.
Sở dĩ nhiều người gọi răng số 6 là răng cấm, vì trong thực hành nha khoa, bác sĩ luôn cố gắng giữ chiếc răng này càng lâu càng tốt. Không phải ngẫu nhiên mà răng số 6 được ưu tiên bảo tồn. Nó là một trong những chiếc răng gánh lực ăn nhai lớn nhất, đồng thời góp phần duy trì chiều cao cắn và sự ổn định toàn bộ khớp cắn.
Nếu nhìn đơn thuần trên bề mặt, răng số 6 trông như một chiếc răng hàm lớn bình thường. Tuy nhiên, phía dưới nướu và trong xương hàm, cấu trúc của nó phức tạp hơn nhiều so với răng cửa hay răng nanh. Chính vì vậy, khi răng số 6 gặp vấn đề, việc điều trị cũng đòi hỏi bác sĩ đánh giá kỹ hơn.
Cấu tạo của răng số 6
Để hiểu vì sao răng số 6 quan trọng và cũng khá khó điều trị khi tổn thương nặng, trước hết cần nhìn vào cấu tạo cơ bản của chiếc răng này. Giống các răng khác, răng số 6 có hai phần chính là thân răng và chân răng. Thân răng là phần nằm trên nướu, có thể nhìn thấy trong miệng. Trong khi đó, chân răng nằm dưới nướu, bám chắc trong xương hàm để giữ răng ổn định khi ăn nhai.
Cổ răng là vị trí dễ tích tụ mảng bám

Giữa thân răng và chân răng có một vùng chuyển tiếp gọi là cổ răng. Đây là khu vực khá nhạy cảm, đồng thời cũng dễ bám mảng thức ăn nếu vệ sinh chưa kỹ. Khi mảng bám tồn tại lâu, vi khuẩn có thể phát triển mạnh, rồi tấn công dần từ bề mặt ngoài vào sâu bên trong, làm tăng nguy cơ sâu răng hoặc viêm nướu.
Men răng là lớp bảo vệ ngoài cùng

Xét từ ngoài vào trong, lớp đầu tiên của răng số 6 là men răng. Đây là mô cứng nhất trong cơ thể người. Theo nhiều tài liệu nha khoa, men răng chứa khoảng 96% muối vô cơ, nhờ đó có khả năng chịu lực nhai lớn mỗi ngày. Tuy nhiên, men răng không phải “lá chắn” bất biến. Nếu chăm sóc răng miệng kém, lớp này vẫn có thể bị mòn, nứt hoặc bị vi khuẩn phá hủy.
Ngà răng chiếm phần lớn cấu trúc thân răng

Nằm ngay dưới men là ngà răng. Lớp này mềm hơn, có tính đàn hồi tốt hơn và chiếm phần lớn thể tích thân răng. Ngà răng có màu vàng nhạt, nên màu thật của răng thường không trắng trong hoàn toàn. Khi sâu răng đã lan vào ngà, người bệnh thường bắt đầu thấy ê buốt rõ hơn, nhất là khi ăn đồ nóng, lạnh hoặc chua.
Tủy răng là phần nuôi sống răng

Trong cùng là tủy răng, nơi chứa mạch máu và dây thần kinh. Bộ phận này có chức năng nuôi dưỡng răng và tạo cảm giác khi răng bị kích thích hoặc tổn thương. Khi vi khuẩn đã xâm nhập đến tủy, tình trạng lúc đó không còn là sâu răng đơn thuần nữa, mà thường chuyển sang viêm tủy, gây đau nhiều và cần xử lý chuyên sâu hơn.
Răng số 6 có mấy chân – mấy ống tủy?

Một điểm mà nhiều người chỉ biết khi đi khám là răng số 6 không chỉ lớn về kích thước thân răng, mà còn khá phức tạp ở phần chân và ống tủy. Điều này ảnh hưởng trực tiếp đến việc nhổ răng, chữa tủy và phục hình sau này.
Ở hàm trên, mỗi răng số 6 thường có 3 chân răng. Trong khi đó, ở hàm dưới, răng số 6 thường có 2 chân răng. Tuy nhiên, dù số chân khác nhau, chiếc răng này vẫn thuộc nhóm có cấu trúc phức tạp nhất trên cung hàm.
Về phần ống tủy, răng số 6 thường có từ 3 đến 5 ống tủy. Đây là con số cao so với nhiều răng khác. Chính vì có nhiều ống tủy, lại nằm ở vị trí sâu trong miệng, việc điều trị tủy răng số 6 thường khó hơn điều trị tủy răng trước. Bác sĩ cần xác định đúng số lượng ống, chiều dài và hướng đi của từng ống tủy. Chỉ cần bỏ sót một ống nhỏ, nguy cơ viêm tái phát vẫn có thể xảy ra.
Người bệnh thường chỉ thấy một chiếc răng duy nhất trên lợi, nhưng ở góc nhìn chuyên môn, răng số 6 là cả một cấu trúc lớn, nhiều chân, nhiều ống và gắn chặt với hệ nâng đỡ quanh răng. Vì vậy, khi răng số 6 có vấn đề, quyết định giữ hay nhổ không thể dựa vào cảm giác chủ quan, mà cần phim chụp và đánh giá lâm sàng.
Răng số 6 mọc khi nào? Có thay không?

Răng số 6 thường mọc khi trẻ khoảng 6–7 tuổi. Đây là thời điểm rất đặc biệt, vì trẻ đang trong giai đoạn thay răng sữa. Chính sự xuất hiện đúng lúc này khiến nhiều phụ huynh nhầm tưởng răng số 6 cũng là răng tạm thời, rồi sẽ thay sau đó như các răng sữa khác.
Thực tế thì hoàn toàn ngược lại. Răng số 6 là răng vĩnh viễn, mọc lên chỉ một lần trong đời và không có răng thay thế. Nếu chiếc răng này bị sâu nặng, gãy hoặc phải nhổ sớm, cơ thể sẽ không mọc lại chiếc mới.
Đây là lý do vì sao nhiều bác sĩ nha khoa nhấn mạnh việc theo dõi răng số 6 từ sớm. Một chiếc răng mọc từ khi trẻ còn nhỏ, nhưng lại phải đồng hành suốt quãng đời sau. Chỉ cần chủ quan trong vài năm đầu, nguy cơ sâu răng, viêm tủy hoặc mất răng sớm đã có thể xuất hiện.
Không ít trường hợp trẻ đau răng số 6 nhưng gia đình nghĩ đó là răng sữa, nên trì hoãn điều trị. Đến khi đi khám, răng đã sâu lớn, viêm tủy hoặc chỉ còn chân răng. Khi ấy, việc giữ lại răng số 6 khó khăn hơn rất nhiều.
Vai trò của răng số 6 đối với toàn hàm
Nói răng số 6 là chiếc răng quan trọng bậc nhất trên cung hàm không phải cách nói cường điệu. Trong chức năng ăn nhai, ổn định khớp cắn và giữ cấu trúc gương mặt, răng số 6 đều có vai trò rất rõ.
Đảm nhiệm lực ăn nhai chính

Răng số 6 có mặt nhai rộng, nhiều múi và chân răng chắc. Nhờ đó, nó chịu lực nhai rất lớn mỗi ngày. Trong nhiều phân tích chuyên môn, nhóm răng hàm lớn, đặc biệt là răng số 6 và số 7, thường gánh phần lớn lực cắn nghiền. Một số nội dung chuyên ngành và bài viết thực hành còn ước tính nhóm này có thể tham gia khoảng 60–70% lực nhai toàn hàm.
Khi răng số 6 khỏe, thức ăn được nghiền nhỏ hơn trước khi nuốt. Điều này giúp dạ dày và hệ tiêu hóa giảm gánh nặng xử lý thức ăn thô. Ngược lại, nếu răng số 6 đau, vỡ hoặc mất, người bệnh sẽ có xu hướng nhai lệch sang bên còn lại, hoặc nuốt thức ăn khi chưa nghiền kỹ.
Giữ ổn định khớp cắn

Răng số 6 không chỉ là răng để nhai. Nó còn góp phần giữ tương quan hai hàm khi đóng lại. Nói cách khác, chiếc răng này là một phần quan trọng trong hệ thống định hướng khớp cắn. Khi răng số 6 mất đi, các răng lân cận có thể đổ nghiêng, răng đối diện có thể trồi xuống, từ đó làm khớp cắn thay đổi dần theo thời gian.
Ở những người đã có nền răng lệch sẵn, việc mất răng số 6 còn khiến tình trạng sai lệch dễ nặng hơn, thậm chí liên quan đến các vấn đề như khớp cắn chéo hoặc đau khớp thái dương hàm.
Nâng đỡ cấu trúc khuôn mặt

Dù răng số 6 nằm khuất trong vùng răng hàm, nó vẫn tham gia vào việc giữ chiều cao tầng mặt dưới. Khi chiếc răng này mất lâu ngày, xương hàm tại vùng mất răng dễ tiêu dần vì không còn lực nhai kích thích. Kéo theo đó là hiện tượng tụt lợi, hõm má và khuôn mặt nhìn già hơn so với tuổi.
Sự thay đổi này không diễn ra trong vài ngày, nhưng nếu bỏ qua nhiều tháng hoặc nhiều năm, gương mặt có thể khác đi rõ rệt. Vì vậy, mất răng số 6 không chỉ là chuyện “thiếu một chiếc răng phía trong”, mà còn liên quan tới cả thẩm mỹ và chức năng lâu dài.
Vì sao răng số 6 dễ bị sâu nhất?

Nhiều người thắc mắc, tại sao răng số 6 lại hay sâu hơn các răng khác, dù bề mặt rất lớn và trông có vẻ chắc khỏe. Câu trả lời nằm ở vị trí mọc, hình thể giải phẫu và thói quen chăm sóc.
Trước hết, răng số 6 nằm khá sâu trong hàm. Ở trẻ nhỏ, việc đưa bàn chải tới đúng vùng răng này không dễ. Trẻ thường chải phần răng trước kỹ hơn, còn vùng răng sau lại làm rất nhanh. Vì vậy, mảng bám ở răng số 6 dễ tồn tại lâu hơn.
Thứ hai, bề mặt nhai của răng số 6 có nhiều hố và rãnh. Những rãnh nhỏ này rất thuận lợi cho thức ăn mắc lại. Nếu vệ sinh không đủ, vi khuẩn sẽ sử dụng cặn thức ăn để tạo axit, từ đó làm mềm men răng rồi gây sâu.
Thứ ba, răng số 6 mọc sớm. Khi chiếc răng này vừa xuất hiện, trẻ thường chưa có ý thức chăm sóc răng miệng đầy đủ. Nhiều gia đình cũng không để ý đây là răng vĩnh viễn, nên chưa hướng dẫn chải kỹ hoặc chưa đưa đi kiểm tra định kỳ.
Cuối cùng, chế độ ăn nhiều đường, nước ngọt, bánh kẹo dính, cộng với việc vệ sinh không đúng cách, càng khiến răng số 6 trở thành mục tiêu dễ bị tổn thương. Không ít ca sâu răng nặng ở người trưởng thành thực chất bắt đầu từ giai đoạn chiếc răng này mới mọc.
Các vấn đề thường gặp ở răng số 6
Vì vừa chịu lực nhiều, vừa nằm ở vùng khó làm sạch, răng số 6 dễ gặp một số bệnh lý phổ biến. Điều đáng nói là nhiều trường hợp không đau ngay từ đầu, nên người bệnh rất dễ bỏ qua.
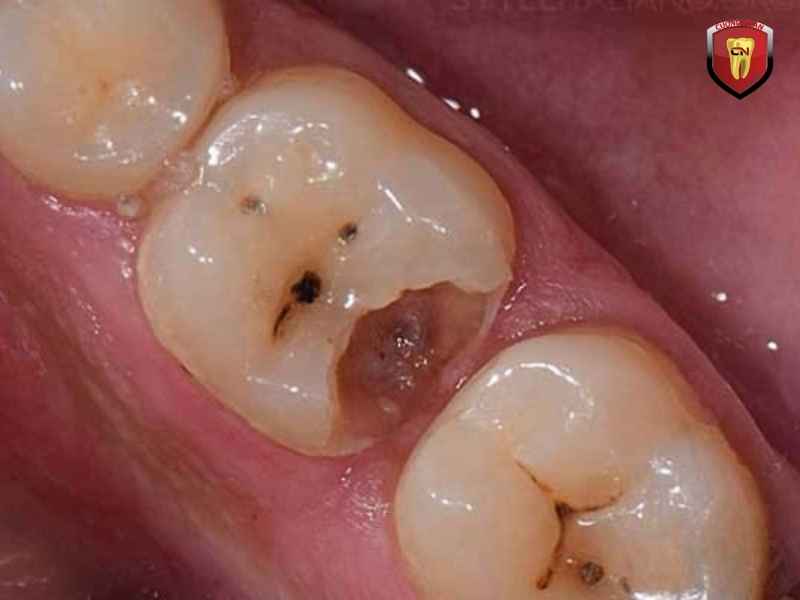
Sâu răng số 6

Đây là tình trạng phổ biến nhất. Ban đầu, sâu răng có thể chỉ là một đốm đổi màu nhỏ trên mặt nhai. Sau đó, lỗ sâu lớn dần, thức ăn ngày càng mắc lại nhiều hơn và cảm giác ê buốt bắt đầu xuất hiện. Nếu vẫn trì hoãn, tổn thương sẽ lan vào ngà và tiến sát tủy.
Viêm tủy răng số 6

Khi vi khuẩn xâm nhập vào buồng tủy, người bệnh có thể đau nhức từng cơn, đau âm ỉ về đêm, hoặc nhói mạnh khi ăn nóng lạnh. Do răng số 6 có nhiều ống tủy, việc xử lý khi viêm thường phức tạp hơn. Đây cũng là lý do nhiều người tìm hiểu về viêm tủy răng sau khi bị đau ở vùng răng hàm lớn.
Gãy, mẻ hoặc nứt răng

Răng số 6 chịu lực ăn nhai rất lớn. Nếu cấu trúc răng đã yếu do sâu hoặc do vết trám cũ quá lớn, việc cắn thức ăn cứng có thể làm răng nứt hoặc vỡ thêm. Một số người không đau nhiều lúc đầu, nhưng sau đó xuất hiện ê buốt kéo dài hoặc đau khi nhai.
Mất răng số 6

Mất răng có thể do sâu quá nặng, viêm quanh chóp, gãy vỡ không phục hồi được hoặc nhổ bỏ theo chỉ định. Khi răng số 6 mất mà không phục hồi sớm, những hậu quả về ăn nhai, xô lệch răng và tiêu xương thường xuất hiện dần.
Răng số 6 bị sâu có nên nhổ không?

Đây là câu hỏi rất nhiều người quan tâm. Tuy nhiên, không thể trả lời theo kiểu “sâu là nhổ” hoặc “cứ giữ bằng mọi giá”. Với răng số 6, bác sĩ luôn ưu tiên bảo tồn nếu cấu trúc còn khả năng phục hồi.
Nếu răng số 6 mới sâu nhẹ, tổn thương chưa vào tủy, răng chưa lung lay và chân răng còn tốt, hướng xử lý thường là làm sạch mô sâu rồi trám lại. Khi lỗ sâu lớn hơn, hoặc phần thân răng mất mô khá nhiều nhưng chân vẫn còn chắc, bác sĩ có thể cân nhắc điều trị tủy rồi bọc sứ để tăng độ bền cho thân răng.
Trong một số trường hợp, răng số 6 đã viêm tủy nhưng vẫn còn khả năng giữ. Khi đó, điều trị tủy là bước cần thiết để loại bỏ mô viêm và bảo tồn chân răng. Sau khi chữa tủy, phục hình bằng mão sứ thường được cân nhắc, vì răng sau điều trị tủy dễ giòn và dễ vỡ hơn.
Ngược lại, nhổ răng số 6 thường chỉ được chỉ định khi tổn thương đã quá nặng. Ví dụ như thân răng vỡ lớn không thể phục hình, chân răng tiêu nhiều, nhiễm trùng lan rộng, hoặc răng lung lay mạnh do bệnh nha chu. Nói cách khác, nhổ là lựa chọn sau cùng, không phải bước đầu tiên.
Nếu bạn thấy đau hoặc sâu ở vùng này, đừng tự kết luận rằng răng số 6 “hỏng rồi phải nhổ”. Một chiếc răng có vẻ rất nặng trên bề mặt vẫn có thể được giữ nếu chân răng và mô quanh răng còn tốt. Ngược lại, có răng nhìn tưởng còn nhưng bên dưới đã không còn nền để bảo tồn.
Mất răng số 6 có nguy hiểm không?

Câu trả lời là có. Mất răng số 6 không gây nguy hiểm theo kiểu cấp cứu tức thì, nhưng lại kéo theo một chuỗi hệ quả lâu dài nếu không phục hồi đúng lúc.
Hậu quả thấy sớm nhất là giảm khả năng ăn nhai. Do mất một điểm chịu lực lớn, người bệnh thường nhai lệch sang bên còn lại. Thói quen này kéo dài có thể làm một bên hàm hoạt động quá mức, trong khi bên mất răng ngày càng yếu hơn.
Tiếp theo là hiện tượng xô lệch răng. Răng số 5 và răng số 7 cạnh khoảng mất răng có xu hướng nghiêng dần về phía khoảng trống. Nếu răng số 6 hàm dưới mất, chiếc răng đối diện ở hàm trên có thể trồi xuống. Khi tương quan các răng thay đổi, khớp cắn cũng trở nên mất cân bằng.
Một hậu quả khác là tiêu xương hàm. Xương ổ răng tồn tại và duy trì mật độ nhờ lực nhai truyền qua chân răng. Khi răng số 6 mất, lực này không còn, xương sẽ tiêu dần theo thời gian. Từ đó, lợi tụt, má hõm và khuôn mặt nhìn già hơn.
Ngoài ra, mất răng số 6 còn có thể khiến việc phục hình về sau khó hơn. Khoảng mất răng càng để lâu, xương càng giảm, răng bên cạnh càng nghiêng nhiều. Khi ấy, việc làm cầu răng hoặc cấy ghép Implant sẽ cần tính toán kỹ hơn, đôi khi phải kết hợp thêm thủ thuật hỗ trợ.
Các phương pháp phục hồi răng số 6
Khi răng số 6 đã mất, phục hồi sớm là hướng nên cân nhắc để tránh chuỗi hậu quả kể trên. Tùy tình trạng xương hàm, sức khỏe răng kế cận và điều kiện tài chính, bác sĩ có thể đề xuất các phương án khác nhau.
Trám răng

Trám không phải là phương pháp thay thế răng đã mất, mà là cách phục hồi khi răng số 6 còn giữ được thân răng ở mức độ nhất định. Nếu sâu nhẹ hoặc trung bình, trám giúp bít kín phần khuyết, giảm đọng thức ăn và khôi phục một phần chức năng nhai.
Ưu điểm của trám là nhanh, ít xâm lấn và chi phí thấp hơn các phương pháp khác. Tuy nhiên, nếu phần mô răng mất quá lớn, miếng trám khó đủ bền để chịu lực nhai lâu dài.
Bọc răng sứ

Bọc sứ thường được cân nhắc khi răng số 6 còn chân răng tốt nhưng thân răng đã mất mô nhiều, hoặc sau khi điều trị tủy. Mão sứ sẽ bao phủ thân răng, giúp tăng độ bền và hỗ trợ chức năng nhai.
Dù vậy, bọc sứ không dùng cho trường hợp mất cả chân răng. Khi ấy, muốn có mão sứ, người bệnh cần một nền nâng đỡ khác như cầu răng hoặc Implant.
Cầu răng sứ

Cầu răng là phương pháp dùng hai răng bên cạnh làm trụ, sau đó gắn một nhịp sứ thay thế khoảng mất răng số 6. Cách này có ưu điểm là thời gian phục hình tương đối nhanh, thường ngắn hơn Implant.
Tuy nhiên, cầu răng yêu cầu mài răng số 5 và số 7. Điều đó đồng nghĩa hai răng khỏe kế cận phải chịu thêm tải trọng, đồng thời phần xương tại vị trí mất răng vẫn có thể tiêu dần vì không có chân răng thật hay trụ cấy bên dưới.
Trồng răng Implant

Đây là phương pháp phục hồi độc lập, trong đó bác sĩ đặt một trụ vào xương hàm để thay chân răng, rồi gắn mão sứ phía trên. Với mất răng số 6, Implant thường được đánh giá cao vì không cần mài răng bên cạnh, đồng thời giúp duy trì lực nhai và hạn chế tiêu xương.
Nhược điểm của phương án này là thời gian hoàn tất dài hơn và chi phí cao hơn. Trong nội dung thị trường mà bạn cung cấp, thời gian phục hình Implant thường được nhắc trong khoảng 2–6 tháng, tùy mức độ lành thương và kế hoạch điều trị.
So sánh các phương pháp phục hồi răng số 6

Không có lựa chọn nào hợp cho tất cả mọi trường hợp. Với răng số 6, bác sĩ sẽ xem xét mức độ mất mô, tình trạng xương, vị trí răng đối diện và sức khỏe hai răng bên cạnh trước khi quyết định.
Nhổ răng số 6 có nguy hiểm không?

Về kỹ thuật, nhổ răng số 6 thường không phức tạp như răng khôn mọc lệch hay răng khôn mọc ngầm. Vì răng này mọc đúng vị trí, bác sĩ dễ tiếp cận hơn. Nếu được thực hiện trong môi trường vô trùng, có chỉ định rõ và đúng quy trình, việc nhổ thường nằm trong mức kiểm soát.
Tuy nhiên, điều đáng lo không hẳn nằm ở thao tác nhổ, mà nằm ở hậu quả sau nhổ nếu không phục hồi. Nói cách khác, nhổ răng số 6 không phải lúc nào cũng nguy hiểm ở thời điểm làm thủ thuật, nhưng có thể tạo ra các vấn đề dài hạn nếu người bệnh bỏ trống khoảng mất răng quá lâu.
Một câu hỏi khác mà nhiều người quan tâm là chi phí. Theo nội dung top 2 bạn cung cấp, mức giá nhổ răng số 6 trên thị trường có thể dao động khoảng 500.000–1.000.000 đồng mỗi răng. Dù vậy, đây chỉ là mức tham khảo, vì còn phụ thuộc tình trạng răng, cơ sở điều trị và các chỉ định đi kèm.
Sau khi nhổ răng số 6, bao lâu thì lành?

Thời gian hồi phục sau nhổ răng số 6 không giống nhau ở mọi người. Mô mềm vùng nhổ thường khép miệng khá sớm, nhưng để xương ổn định hơn thì cần thời gian dài hơn. Theo thông tin thị trường bạn đã cung cấp, quá trình để xương hàm và vùng nhổ ổn định có thể kéo dài khoảng 3–6 tháng.
Ở người trẻ, thể trạng tốt, vệ sinh đúng và không có bệnh lý nền, quá trình lành thường thuận lợi hơn. Ngược lại, người lớn tuổi, người hút thuốc hoặc có viêm nha chu sẵn có thể cần nhiều thời gian hơn.
Điều quan trọng sau nhổ là tuân thủ hướng dẫn chăm sóc, theo dõi dấu hiệu bất thường và trao đổi sớm với bác sĩ nếu đau tăng, chảy máu kéo dài hoặc sưng nhiều hơn dự kiến.
Khi nào cần đi nha khoa kiểm tra răng số 6?

Bạn nên đi khám khi có một trong các dấu hiệu sau, đau nhức vùng răng hàm khi nhai, ê buốt kéo dài với đồ nóng lạnh, thức ăn thường xuyên nhét vào một vị trí cố định, hơi thở có mùi dù đã vệ sinh, nướu quanh răng sưng đỏ, hoặc răng có dấu hiệu nứt vỡ.
Ngoài ra, nếu trẻ vừa mọc răng số 6, phụ huynh cũng nên đưa đi kiểm tra định kỳ để bác sĩ đánh giá rãnh mặt nhai, nguy cơ sâu sớm và hướng dẫn cách chải đúng vùng răng trong cùng. Việc theo dõi sớm giúp hạn chế tình trạng phát hiện muộn khi răng đã tổn thương nặng.
Cách chăm sóc răng số 6 đúng cách

Chăm sóc răng số 6 không phải việc quá phức tạp, nhưng cần đều đặn và đúng vùng. Điều quan trọng nhất là chải răng kỹ ở khu vực răng hàm trong cùng, nơi bàn chải thường bị bỏ sót. Khi chải, nên đi theo chuyển động nhẹ, không quét quá nhanh rồi kết thúc vội.
Bên cạnh bàn chải, chỉ nha khoa hoặc máy tăm nước cũng rất hữu ích để làm sạch vùng kẽ. Với răng số 6, mặt nhai nhiều rãnh nên sau ăn, thức ăn dễ mắc lại. Nếu chỉ súc miệng qua loa, mảng bám vẫn còn bám rất chắc.
Kem đánh răng có fluor giúp hỗ trợ bảo vệ men răng. Ngoài ra, nên hạn chế ăn vặt liên tục, đặc biệt là đồ ngọt dính, vì vi khuẩn sẽ có thêm thời gian tạo axit trên bề mặt răng. Với trẻ nhỏ, cha mẹ nên trực tiếp kiểm tra vùng răng sau khi con đánh răng, thay vì chỉ hỏi “đánh xong chưa”.
Khám nha khoa định kỳ khoảng 6 tháng một lần vẫn là thói quen nên duy trì. Nhiều tổn thương ở răng số 6 không gây đau ngay, nên nếu chờ đến lúc nhức dữ dội mới đi khám, việc điều trị thường đã phức tạp hơn.
Câu hỏi thường gặp về răng số 6

Răng số 6 có mọc lại không?
Không. Răng số 6 là răng vĩnh viễn, mọc một lần duy nhất và không có răng thay thế nếu đã mất.
Răng số 6 có phải răng sữa không?
Không. Dù mọc từ lúc trẻ khoảng 6–7 tuổi, đây vẫn là răng vĩnh viễn. Việc nhầm lẫn với răng sữa là lý do khiến nhiều trường hợp bị sâu sớm.
Răng số 6 có nên nhổ không?
Chỉ nên nhổ khi răng không còn khả năng bảo tồn. Nếu còn phục hồi được bằng trám, chữa tủy hoặc bọc sứ, bác sĩ thường ưu tiên giữ lại.
Mất răng số 6 có niềng được không?
Có thể, nhưng cần đánh giá rất kỹ. Trong nhiều trường hợp, người bệnh cần phục hồi khoảng mất răng hoặc có kế hoạch chỉnh nha rõ ràng trước khi niềng.
Răng số 6 có liên quan nhiều tới điều trị tủy không?
Có. Do răng số 6 có từ 3–5 ống tủy, việc chữa tủy chiếc răng này thường đòi hỏi chẩn đoán và thao tác cẩn thận hơn.
Kết luận
Răng số 6 là chiếc răng hàm mọc sớm, chỉ xuất hiện một lần và giữ vai trò rất lớn trong ăn nhai, khớp cắn cũng như sự ổn định của toàn hàm. Vì nằm ở vị trí sâu, có nhiều rãnh và chịu lực lớn mỗi ngày, răng số 6 cũng là chiếc răng dễ gặp sâu răng, viêm tủy và mất sớm nếu chăm sóc chưa đúng.
Điều quan trọng là không nên xem nhẹ bất kỳ dấu hiệu bất thường nào ở vùng răng hàm. Một lỗ sâu nhỏ hôm nay có thể trở thành chỉ định nhổ trong tương lai nếu kéo dài quá lâu. Tại Nha khoa Cường Nhân, việc thăm khám sớm, đánh giá đúng khả năng giữ răng và lựa chọn hướng phục hồi phù hợp luôn là bước cần thiết để bảo tồn răng số 6 tốt nhất có thể.
- Răng số 6 là gì? Vai trò, bệnh lý thường gặp và khi nào nên nhổ - Tháng 3 22, 2026
- Răng cửa chìa ra là gì? Nguyên nhân, mức độ và cách khắc phục phù hợp - Tháng 3 22, 2026
- Nong hàm bằng dây cung là gì? Khi nào cần áp dụng trong chỉnh nha? - Tháng 3 9, 2026
