Theo thống kê của Hiệp hội Chỉnh nha Hoa Kỳ (AAO), sai lệch khớp cắn là một trong những vấn đề răng miệng phổ biến, ảnh hưởng đến khoảng 60–70% dân số ở nhiều mức độ khác nhau. Trong đó, răng hô nặng là tình trạng dễ nhận thấy và gây ảnh hưởng rõ rệt đến thẩm mỹ khuôn mặt, khả năng ăn nhai cũng như sự tự tin khi giao tiếp. Không ít người chỉ phát hiện ra mình bị răng hô nặng khi quan sát góc nghiêng khuôn mặt hoặc khi khép môi gặp khó khăn. Vậy tình trạng này hình thành do đâu, có nguy hiểm không và nên điều trị bằng phương pháp nào? Bài viết dưới đây sẽ giúp bạn hiểu rõ hơn về nguyên nhân, dấu hiệu cũng như các hướng xử lý đối với răng hô nặng.
Răng hô nặng là gì?

Trong nha khoa, răng hô nặng là một dạng sai lệch khớp cắn khi răng hoặc xương hàm trên nhô ra phía trước quá mức so với hàm dưới. Sự sai lệch này khiến tương quan giữa hai hàm không còn cân đối, từ đó làm thay đổi cấu trúc khuôn mặt.
Ở trạng thái khớp cắn bình thường, răng cửa hàm trên chỉ phủ nhẹ lên răng cửa hàm dưới với khoảng cách nhỏ. Tuy nhiên, khi khoảng cách này tăng lên đáng kể, răng cửa hàm trên có xu hướng chìa ra ngoài nhiều hơn. Khi đó, người bệnh có thể được chẩn đoán mắc răng hô nặng.
Tình trạng này có thể xuất hiện ở nhiều độ tuổi khác nhau. Một số người nhận thấy dấu hiệu răng hô nặng từ khi còn nhỏ, trong khi người khác chỉ phát hiện khi trưởng thành. Mức độ sai lệch cũng không giống nhau giữa các trường hợp.
Về mặt chuyên môn, bác sĩ thường phân loại tình trạng răng hô thành ba mức độ:
- Hô nhẹ
- Hô trung bình
- Răng hô nặng
Ở mức độ nặng, răng cửa có thể nghiêng ra phía trước rõ rệt, thậm chí làm thay đổi hình dạng khuôn mặt khi nhìn nghiêng.
Nội dung bài viết
Dấu hiệu nhận biết răng hô nặng

Trong thực tế, nhiều người có thể nhận ra răng hô nặng thông qua những thay đổi rõ rệt về hình dáng khuôn mặt hoặc cấu trúc hàm răng. Tuy nhiên, việc quan sát bằng mắt thường chỉ mang tính chất tham khảo ban đầu. Để đánh giá chính xác mức độ sai lệch khớp cắn, bác sĩ nha khoa cần tiến hành thăm khám lâm sàng kết hợp với các phương pháp chẩn đoán như chụp X-quang hoặc phân tích khớp cắn. Dưới đây là những dấu hiệu thường gặp giúp nhận biết tình trạng răng hô nặng.
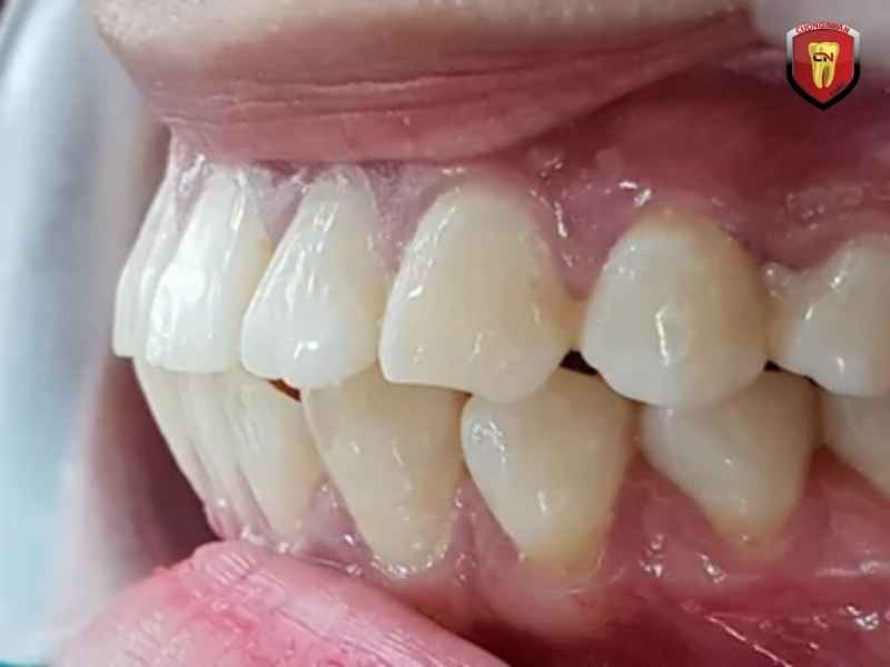
Hàm trên nhô ra phía trước

Đây là dấu hiệu đặc trưng và dễ nhận biết nhất. Ở người bị răng hô nặng, răng cửa hàm trên có xu hướng nghiêng hoặc chìa ra phía trước nhiều hơn so với vị trí bình thường. Khi quan sát từ góc nghiêng, phần răng và môi trên sẽ nhô rõ rệt so với hàm dưới. Sự sai lệch này làm thay đổi tương quan giữa hai hàm, khiến cấu trúc khớp cắn trở nên mất cân đối.
Môi trên nhô và khó khép miệng tự nhiên

Người gặp tình trạng răng hô nặng thường khó khép môi một cách tự nhiên khi ở trạng thái nghỉ. Do răng và hàm trên nhô ra phía trước, môi trên có xu hướng bị đẩy ra ngoài. Trong nhiều trường hợp, người bệnh phải dùng lực để khép môi hoặc miệng luôn ở trạng thái hơi mở. Đây là dấu hiệu khá phổ biến trong các trường hợp sai lệch khớp cắn ở mức độ rõ rệt.
Khớp cắn không khớp

Ở người bình thường, khi cắn lại, răng hàm trên và hàm dưới sẽ tiếp xúc với nhau theo một tỷ lệ nhất định. Tuy nhiên, khi bị răng hô nặng, răng trên thường phủ quá nhiều lên răng dưới hoặc không khớp đúng vị trí. Điều này làm cho lực nhai phân bố không đồng đều, lâu dần có thể ảnh hưởng đến khả năng nghiền thức ăn và gây áp lực lên các răng còn lại.
Gương mặt mất cân đối

Một trong những ảnh hưởng dễ thấy của răng hô nặng là sự thay đổi tỷ lệ khuôn mặt. Khi hàm trên nhô ra quá mức, khuôn mặt nhìn nghiêng sẽ có xu hướng nhô về phía trước. Điều này khiến tổng thể khuôn mặt kém hài hòa, đặc biệt ở vùng môi và cằm. Với những trường hợp nặng, sự mất cân đối có thể nhận thấy ngay cả khi nhìn trực diện.
Phát âm gặp khó khăn

Sai lệch khớp cắn trong tình trạng răng hô nặng đôi khi ảnh hưởng đến quá trình phát âm. Một số âm cần sự phối hợp chính xác giữa răng, môi và lưỡi có thể trở nên khó phát âm hơn. Điều này thường xảy ra khi vị trí răng cửa thay đổi quá nhiều so với cấu trúc bình thường của cung hàm.
Nhìn chung, các dấu hiệu trên có thể giúp nhận biết ban đầu tình trạng răng hô nặng. Tuy nhiên, để xác định chính xác nguyên nhân và mức độ sai lệch, người bệnh nên đến cơ sở nha khoa để được kiểm tra và tư vấn phương án điều chỉnh phù hợp.
Nguyên nhân dẫn đến răng hô nặng

Tình trạng răng hô nặng có thể hình thành do nhiều yếu tố khác nhau liên quan đến cấu trúc răng, sự phát triển của xương hàm hoặc những thói quen sinh hoạt kéo dài trong quá trình phát triển. Trong nha khoa, nguyên nhân gây răng hô nặng thường được chia thành một số nhóm chính như: sai lệch do răng, sai lệch do xương hàm, thói quen xấu từ nhỏ và yếu tố di truyền. Việc xác định chính xác nguyên nhân đóng vai trò quan trọng trong quá trình chẩn đoán và lựa chọn phương pháp điều trị phù hợp.
Răng hô do răng

Một trong những nguyên nhân phổ biến gây răng hô nặng là sự sai lệch vị trí của răng trên cung hàm. Trong trường hợp này, xương hàm vẫn phát triển tương đối bình thường nhưng răng mọc không đúng hướng hoặc không đúng vị trí.
Một số trường hợp răng cửa hàm trên mọc nghiêng hoặc chìa ra phía trước quá mức so với trục răng chuẩn. Khi điều này xảy ra, các răng xung quanh có thể bị đẩy lệch theo, khiến toàn bộ hàm răng có xu hướng nhô ra phía trước. Theo thời gian, sự sai lệch này làm thay đổi tương quan khớp cắn và dẫn đến tình trạng răng hô nặng.
Ngoài ra, kích thước răng cũng là một yếu tố đáng chú ý. Khi răng có kích thước lớn hơn so với diện tích cung hàm, các răng sẽ không đủ khoảng trống để mọc đúng vị trí. Tình trạng chen chúc răng có thể xảy ra, khiến răng cửa bị đẩy ra phía trước. Nếu không được can thiệp kịp thời, sự sai lệch này có thể tiến triển thành răng hô nặng theo thời gian.
Răng hô do xương hàm

Trong một số trường hợp, răng hô nặng không xuất phát từ vị trí của răng mà liên quan đến cấu trúc xương hàm. Khi xương hàm trên phát triển quá mức hoặc xương hàm dưới phát triển kém, tương quan giữa hai hàm sẽ mất cân đối.
Khi đó, dù răng mọc khá đều, hàm trên vẫn có xu hướng đưa ra phía trước. Điều này làm khuôn mặt nhìn nghiêng có cảm giác nhô rõ rệt. Đây là dạng răng hô nặng liên quan đến cấu trúc xương, thường phức tạp hơn so với hô do răng.
Nguyên nhân của tình trạng này có thể liên quan đến yếu tố di truyền hoặc quá trình phát triển xương hàm trong giai đoạn dậy thì. Sự phát triển không đồng đều giữa hai hàm có thể khiến khớp cắn thay đổi và dẫn đến sai lệch rõ rệt khi trưởng thành.
Răng hô do thói quen xấu

Những thói quen kéo dài trong thời thơ ấu cũng có thể tác động đáng kể đến sự phát triển của răng và xương hàm. Khi các thói quen này duy trì trong thời gian dài, chúng có thể tạo lực tác động liên tục lên răng cửa và dần làm thay đổi vị trí răng.
Một số thói quen thường gặp có thể dẫn đến răng hô nặng bao gồm:
- Mút tay trong thời gian dài
- Ngậm ti giả quá lâu khi còn nhỏ
- Thói quen đẩy lưỡi khi nuốt
- Cắn hoặc ngậm các vật cứng như bút, đồ chơi
Những hành động này tạo áp lực lên răng cửa hàm trên, khiến răng dần nghiêng ra phía trước. Nếu lực tác động duy trì trong thời gian dài, sự sai lệch có thể ngày càng rõ rệt và phát triển thành răng hô nặng.
Yếu tố di truyền

Di truyền cũng được xem là một trong những yếu tố ảnh hưởng đến cấu trúc răng và xương hàm. Trong nhiều gia đình, tình trạng răng hô nặng có thể xuất hiện ở nhiều thế hệ.
Nếu cha mẹ có đặc điểm xương hàm trên nhô hoặc cấu trúc khớp cắn lệch, con cái cũng có khả năng thừa hưởng đặc điểm tương tự. Yếu tố di truyền không chỉ ảnh hưởng đến hình dạng xương hàm mà còn liên quan đến kích thước răng và sự phát triển của cung hàm.
Tuy nhiên, dù răng hô nặng có liên quan đến yếu tố di truyền hay các nguyên nhân khác, việc thăm khám sớm tại cơ sở nha khoa vẫn rất quan trọng. Nhờ đánh giá chính xác nguyên nhân và mức độ sai lệch, bác sĩ có thể đưa ra phương án điều chỉnh phù hợp nhằm cải thiện chức năng ăn nhai cũng như thẩm mỹ khuôn mặt.
Tác hại của răng hô nặng

Răng hô nặng không chỉ là vấn đề thẩm mỹ mà còn có thể ảnh hưởng trực tiếp đến chức năng của hệ thống răng – hàm – mặt. Khi khớp cắn bị sai lệch trong thời gian dài, cấu trúc răng miệng sẽ phải thích nghi với sự mất cân đối này. Điều đó có thể dẫn đến nhiều hệ quả liên quan đến ăn nhai, sức khỏe răng miệng và thậm chí là tâm lý của người mắc phải. Dưới đây là những tác động thường gặp của tình trạng răng hô nặng.
Ảnh hưởng đến thẩm mỹ khuôn mặt

Một trong những tác động dễ nhận thấy nhất của răng hô nặng là sự thay đổi về hình dáng khuôn mặt. Khi răng cửa hoặc hàm trên nhô ra phía trước quá mức, cấu trúc tổng thể của khuôn mặt sẽ mất đi sự cân đối vốn có.
Ở góc nhìn nghiêng, phần môi và hàm trên thường nhô rõ rệt so với vùng cằm và hàm dưới. Điều này có thể làm cho khuôn mặt trông kém hài hòa, đặc biệt ở vùng mũi – môi – cằm. Trong những trường hợp nặng, sự thay đổi này có thể ảnh hưởng đến diện mạo tổng thể và khiến nhiều người cảm thấy thiếu tự tin trong giao tiếp.
Giảm hiệu quả ăn nhai

Khớp cắn đóng vai trò quan trọng trong việc phân bố lực nhai giữa các răng. Khi xảy ra răng hô nặng, sự tiếp xúc giữa răng hàm trên và hàm dưới không còn chính xác.
Điều này khiến lực nhai không được phân bố đều trên toàn bộ hàm răng. Một số răng phải chịu áp lực lớn hơn bình thường, trong khi những răng khác lại ít tham gia vào quá trình nhai. Hệ quả là khả năng nghiền nhỏ thức ăn có thể bị giảm sút, khiến quá trình tiêu hóa gặp nhiều khó khăn hơn.
Tăng nguy cơ mắc các bệnh răng miệng

Tình trạng răng hô nặng thường đi kèm với sự sắp xếp răng không đều hoặc chen chúc trên cung hàm. Những vị trí răng lệch hoặc xoay có thể tạo ra các kẽ răng khó làm sạch bằng bàn chải thông thường.
Khi thức ăn và mảng bám tích tụ lâu ngày, vi khuẩn có điều kiện phát triển mạnh. Điều này làm tăng nguy cơ mắc các bệnh lý răng miệng như sâu răng, viêm nướu hoặc viêm nha chu. Nếu không được kiểm soát kịp thời, các bệnh lý này có thể ảnh hưởng lâu dài đến sức khỏe răng miệng.
Ảnh hưởng đến khớp thái dương hàm

Khớp thái dương hàm là bộ phận giúp hàm dưới di chuyển khi nói chuyện, nhai hoặc nuốt. Khi khớp cắn bị sai lệch do răng hô nặng, khớp hàm phải hoạt động nhiều hơn để bù trừ cho sự mất cân đối giữa hai hàm.
Theo thời gian, áp lực kéo dài có thể gây ra các triệu chứng như mỏi hàm, đau khớp hàm hoặc cảm giác khó chịu khi há miệng. Một số trường hợp còn có thể xuất hiện tiếng kêu ở khớp hàm khi nhai hoặc nói chuyện.
Răng hô nặng có điều trị được không?
Nhiều người lo lắng rằng răng hô nặng rất khó điều chỉnh. Tuy nhiên, với sự phát triển của nha khoa hiện đại, phần lớn các trường hợp đều có thể điều trị.Điều quan trọng là phải xác định đúng nguyên nhân gây ra tình trạng hô. Nếu răng hô nặng do răng, việc chỉnh nha có thể giúp sắp xếp lại vị trí răng. Trong trường hợp sai lệch liên quan đến xương hàm, bác sĩ có thể cân nhắc phẫu thuật chỉnh hàm để cải thiện tương quan giữa hai hàm.
Các phương pháp điều trị răng hô nặng
Sự phát triển của nha khoa hiện đại đã mang đến nhiều phương pháp giúp cải thiện tình trạng răng hô nặng. Tuy nhiên, không phải tất cả các trường hợp đều áp dụng cùng một phương pháp. Việc lựa chọn hướng điều trị cần dựa trên nguyên nhân gây hô, mức độ sai lệch khớp cắn cũng như tình trạng răng miệng của từng người.
Thông thường, bác sĩ sẽ tiến hành thăm khám lâm sàng, chụp phim X-quang và phân tích cấu trúc hàm trước khi xây dựng phác đồ điều trị. Dưới đây là một số phương pháp thường được áp dụng trong quá trình điều chỉnh răng hô nặng.
Niềng răng chỉnh nha

Niềng răng chỉnh nha là phương pháp phổ biến và được áp dụng rộng rãi trong điều trị răng hô nặng, đặc biệt khi nguyên nhân xuất phát từ vị trí răng mọc sai lệch trên cung hàm.
Trong phương pháp này, bác sĩ sẽ sử dụng các khí cụ chỉnh nha như mắc cài, dây cung hoặc khay niềng trong suốt để tạo lực kéo ổn định lên răng. Lực này giúp răng dịch chuyển dần về vị trí mong muốn trên cung hàm, đồng thời điều chỉnh lại tương quan khớp cắn giữa hai hàm.
Quá trình niềng răng thường diễn ra theo từng giai đoạn và cần được theo dõi định kỳ. Tùy theo mức độ răng hô nặng, thời gian điều trị có thể kéo dài khoảng 18 đến 36 tháng. Trong suốt quá trình này, bệnh nhân cần tuân thủ hướng dẫn của bác sĩ và tái khám đúng lịch để đảm bảo răng dịch chuyển đúng kế hoạch.
Bọc răng sứ

Bọc răng sứ là phương pháp phục hình nha khoa có thể được cân nhắc trong một số trường hợp sai lệch nhẹ. Phương pháp này thường áp dụng khi răng hô nặng chủ yếu xuất phát từ hình dạng hoặc hướng mọc của răng cửa.Trong quá trình thực hiện, bác sĩ sẽ tiến hành mài một phần nhỏ của răng thật để tạo hình cùi răng. Sau đó, mão sứ được thiết kế phù hợp sẽ được gắn lên trên nhằm điều chỉnh hướng răng và cải thiện thẩm mỹ của hàm răng.
Mặc dù phương pháp này có thể giúp cải thiện hình dáng răng trong thời gian ngắn, nhưng không phải mọi trường hợp răng hô nặng đều phù hợp với bọc răng sứ. Vì vậy, việc thăm khám và đánh giá kỹ lưỡng trước khi thực hiện là rất cần thiết.
Mài răng

Mài răng là phương pháp can thiệp nhẹ nhằm giảm độ dày hoặc độ nhô của răng cửa. Bác sĩ sẽ sử dụng dụng cụ chuyên dụng để mài bớt một phần nhỏ của men răng, từ đó giúp răng trở nên gọn hơn và hạn chế tình trạng nhô ra phía trước.
Phương pháp này thường chỉ áp dụng với những trường hợp sai lệch rất nhẹ hoặc khi răng có kích thước lớn hơn bình thường. Với các trường hợp răng hô nặng do sai lệch khớp cắn rõ rệt, mài răng đơn thuần thường không thể giải quyết triệt để vấn đề.
Do việc mài răng có liên quan trực tiếp đến cấu trúc men răng, quá trình thực hiện cần được tính toán cẩn thận để tránh ảnh hưởng đến độ bền của răng.
Phẫu thuật chỉnh hàm

Trong những trường hợp răng hô nặng liên quan đến sự phát triển bất cân đối của xương hàm, phẫu thuật chỉnh hàm có thể được bác sĩ chỉ định. Đây là phương pháp can thiệp trực tiếp vào cấu trúc xương nhằm điều chỉnh vị trí của hàm trên hoặc hàm dưới.
Trong quá trình phẫu thuật, bác sĩ sẽ tiến hành cắt và điều chỉnh vị trí xương hàm để đưa hai hàm về tương quan cân đối. Sau đó, xương được cố định bằng các dụng cụ chuyên dụng để đảm bảo sự ổn định trong quá trình hồi phục.
Phẫu thuật chỉnh hàm thường được áp dụng cho những trường hợp răng hô nặng do cấu trúc xương, khi các phương pháp chỉnh nha thông thường không thể giải quyết hoàn toàn sai lệch khớp cắn. Trong nhiều trường hợp, phương pháp này có thể được kết hợp với niềng răng để đạt được kết quả điều trị toàn diện hơn.
Những yếu tố ảnh hưởng đến hiệu quả điều trị răng hô nặng

Hiệu quả điều trị răng hô nặng không chỉ phụ thuộc vào phương pháp can thiệp mà còn chịu tác động của nhiều yếu tố liên quan đến tình trạng răng miệng, độ tuổi của người bệnh cũng như chuyên môn của bác sĩ điều trị. Trong thực tế, mỗi trường hợp răng hô nặng có đặc điểm khác nhau về nguyên nhân, mức độ sai lệch và cấu trúc xương hàm. Vì vậy, quá trình điều chỉnh thường cần được đánh giá toàn diện để xây dựng kế hoạch điều trị phù hợp.
Dưới đây là một số yếu tố quan trọng có thể ảnh hưởng trực tiếp đến kết quả điều trị răng hô nặng.
Tình trạng răng ban đầu

Mức độ sai lệch khớp cắn ban đầu là yếu tố ảnh hưởng lớn đến thời gian và hiệu quả điều trị răng hô nặng. Khi răng cửa hoặc hàm trên nhô ra quá nhiều, việc điều chỉnh vị trí răng hoặc cấu trúc hàm sẽ phức tạp hơn so với những trường hợp sai lệch nhẹ.
Trong các trường hợp răng hô nặng, bác sĩ có thể cần áp dụng nhiều bước điều trị như chỉnh nha, nhổ răng tạo khoảng trống hoặc kết hợp với phẫu thuật chỉnh hàm. Điều này khiến thời gian điều trị có thể kéo dài hơn so với các trường hợp sai lệch khớp cắn ở mức độ nhẹ hoặc trung bình.
Độ tuổi điều trị

Độ tuổi cũng là một yếu tố quan trọng ảnh hưởng đến khả năng điều chỉnh răng hô nặng. Ở trẻ em và thanh thiếu niên, xương hàm vẫn đang trong giai đoạn phát triển nên khả năng thích nghi và dịch chuyển răng thường thuận lợi hơn. Nhờ đó, quá trình điều chỉnh khớp cắn có thể diễn ra nhanh hơn và đạt được kết quả ổn định.
Ngược lại, ở người trưởng thành, cấu trúc xương hàm đã phát triển hoàn chỉnh và ít thay đổi hơn. Điều này khiến quá trình điều chỉnh răng hô nặng có thể mất nhiều thời gian hơn và đôi khi cần kết hợp thêm các phương pháp can thiệp khác.
Sức khỏe răng miệng

Tình trạng sức khỏe răng miệng cũng ảnh hưởng trực tiếp đến quá trình điều trị răng hô nặng. Trước khi tiến hành chỉnh nha hoặc các phương pháp can thiệp khác, bác sĩ thường kiểm tra và xử lý các bệnh lý răng miệng nếu có.
Những vấn đề như sâu răng, viêm nướu, viêm nha chu hoặc nhiễm trùng vùng răng cần được điều trị trước khi bắt đầu quá trình chỉnh nha. Việc đảm bảo môi trường răng miệng khỏe mạnh giúp quá trình điều chỉnh răng diễn ra ổn định và hạn chế nguy cơ phát sinh biến chứng trong thời gian điều trị răng hô nặng.
Tay nghề và kinh nghiệm của bác sĩ

Kinh nghiệm và chuyên môn của bác sĩ đóng vai trò quan trọng trong việc xây dựng phác đồ điều trị răng hô nặng. Một bác sĩ có chuyên môn sâu trong lĩnh vực chỉnh nha sẽ đánh giá chính xác nguyên nhân gây sai lệch khớp cắn, từ đó đưa ra kế hoạch điều chỉnh phù hợp.
Quá trình điều trị thường bao gồm nhiều bước như phân tích phim X-quang, đánh giá cấu trúc xương hàm, xác định hướng dịch chuyển răng và theo dõi tiến trình điều chỉnh. Khi được thực hiện bởi bác sĩ có kinh nghiệm, kế hoạch điều trị răng hô nặng sẽ được kiểm soát tốt hơn và giúp đạt được kết quả ổn định trong thời gian dài.
Lưu ý khi điều trị răng hô nặng

Quá trình điều trị răng hô nặng thường kéo dài trong một khoảng thời gian nhất định và đòi hỏi sự phối hợp chặt chẽ giữa bác sĩ và người bệnh. Bên cạnh việc lựa chọn phương pháp điều trị phù hợp, người bệnh cũng cần chú ý đến một số yếu tố quan trọng trong quá trình chăm sóc và theo dõi răng miệng. Việc tuân thủ đúng các hướng dẫn của bác sĩ không chỉ giúp quá trình điều chỉnh khớp cắn diễn ra thuận lợi mà còn góp phần duy trì kết quả ổn định lâu dài.
Lựa chọn cơ sở nha khoa và bác sĩ có chuyên môn
Một trong những yếu tố quan trọng khi điều trị răng hô nặng là lựa chọn cơ sở nha khoa uy tín với đội ngũ bác sĩ có chuyên môn trong lĩnh vực chỉnh nha. Bác sĩ có kinh nghiệm sẽ tiến hành thăm khám lâm sàng, phân tích phim X-quang và đánh giá cấu trúc răng – hàm – mặt một cách toàn diện.
Dựa trên những dữ liệu này, bác sĩ sẽ xây dựng phác đồ điều trị phù hợp với từng trường hợp răng hô nặng. Việc được điều trị tại cơ sở nha khoa có trang thiết bị đầy đủ và quy trình kiểm soát chất lượng tốt cũng giúp hạn chế những rủi ro trong quá trình điều chỉnh khớp cắn.
Duy trì vệ sinh răng miệng đúng cách
Trong suốt quá trình điều trị răng hô nặng, việc giữ vệ sinh răng miệng đóng vai trò rất quan trọng. Khi răng đang trong giai đoạn chỉnh nha, các khí cụ như mắc cài, dây cung hoặc khay niềng có thể khiến thức ăn dễ bám vào kẽ răng hơn.
Vì vậy, người bệnh cần duy trì thói quen vệ sinh răng miệng khoa học bằng cách chải răng đúng kỹ thuật ít nhất hai lần mỗi ngày. Ngoài ra, việc sử dụng chỉ nha khoa, bàn chải kẽ hoặc nước súc miệng cũng giúp làm sạch mảng bám và hạn chế sự phát triển của vi khuẩn trong khoang miệng.
Thực hiện tốt việc vệ sinh răng miệng không chỉ giúp phòng tránh các bệnh lý như sâu răng hay viêm nướu mà còn hỗ trợ quá trình điều trị răng hô nặng diễn ra thuận lợi hơn.
Tuân thủ lịch tái khám theo hướng dẫn của bác sĩ
Trong quá trình điều trị răng hô nặng, việc tái khám định kỳ là rất cần thiết. Các buổi tái khám giúp bác sĩ theo dõi sự dịch chuyển của răng, điều chỉnh lực kéo của khí cụ chỉnh nha và đánh giá tiến trình điều trị.
Nếu người bệnh không tuân thủ lịch tái khám, quá trình dịch chuyển răng có thể không diễn ra theo kế hoạch ban đầu. Điều này có thể làm kéo dài thời gian điều trị hoặc ảnh hưởng đến kết quả cuối cùng.
Do đó, việc tái khám đúng lịch theo hướng dẫn của bác sĩ là một bước quan trọng để đảm bảo quá trình điều chỉnh răng hô nặng diễn ra ổn định và đạt được hiệu quả mong muốn.
Điều trị răng hô nặng tại Nha khoa Cường Nhân

Việc điều trị răng hô nặng cần được thực hiện tại cơ sở nha khoa có chuyên môn và trang thiết bị phù hợp. Tại Nha khoa Cường Nhân, bệnh nhân sẽ được thăm khám kỹ lưỡng trước khi lựa chọn phương pháp điều trị.
Quy trình thường bao gồm kiểm tra lâm sàng, chụp X-quang và phân tích khớp cắn. Dựa trên các dữ liệu này, bác sĩ sẽ xây dựng kế hoạch điều chỉnh phù hợp với từng trường hợp răng hô nặng.
Nhờ đó, người bệnh có thể hiểu rõ tình trạng răng miệng của mình và lựa chọn phương án điều trị phù hợp với nhu cầu cá nhân.
- Giải Mã Điềm Báo: Mơ Gãy Răng Chảy Máu – Điềm Xấu Hay Tốt? - Tháng 5 10, 2026
- Giải Mã: Mơ Rụng Răng Điềm Gì? Điềm Tốt Hay Xấu & Sự Thật - Tháng 5 10, 2026
- Nhổ Răng Khôn Có Hóp Má Không? Giải Đáp Từ Chuyên Gia Nha Khoa - Tháng 5 10, 2026
