Bạn có biết răng thưa không chỉ ảnh hưởng đến thẩm mỹ mà còn tiềm ẩn nguy cơ về các bệnh lý răng miệng như viêm nướu, sâu răng do thức ăn dễ bị kẹt lại? May mắn thay, niềng răng thưa là một giải pháp hiệu quả và an toàn tuyệt đối. Khám phá ngay các công nghệ niềng răng tiên tiến nhất hiện nay, từ niềng mắc cài kim loại truyền thống đến niềng trong suốt Invisalign, để hiểu rõ ưu nhược điểm, thời gian điều trị và bảng giá cập nhật. Hãy bắt đầu hành trình cải thiện nụ cười của bạn ngay hôm nay!

Nội dung bài viết
- 1 Răng thưa là gì?
- 2 Nguyên nhân gây ra tình trạng răng thưa
- 3 Ảnh hưởng của răng thưa đến sức khỏe & cuộc sống
- 4 Các phương pháp khắc phục răng thưa hiện nay
- 5 Vì sao nên chọn niềng răng thưa?
- 6 Các phương pháp niềng răng thưa phổ biến
- 7 Niềng răng thưa mất bao lâu? Có đau không?
- 8 Quy trình niềng răng thưa chuẩn nha khoa
- 9 Lưu ý quan trọng sau khi niềng răng thưa
- 10 Chi phí niềng răng thưa 2025 tại Nha Khoa Cường Nhân
- 11 Hình ảnh trước – sau niềng răng thưa
- 12 Các câu hỏi thường gặp về niềng răng thưa
- 13 Kinh nghiệm niềng răng thưa từ khách hàng
- 14 Nha khoa Cường Nhân – đơn vị niềng răng uy tín tại Bình Dương
Răng thưa là gì?
Răng thưa là tình trạng lâm sàng trong đó khoảng cách (kẽ hở) giữa các răng trên cung hàm quá lớn, khiến răng không khít sát với nhau. Khoảng thưa phổ biến nhất xảy ra ở răng cửa hàm trên, nhưng nó có thể xuất hiện rải rác ở bất kỳ vị trí nào trên cung hàm.
Về mặt lâm sàng, sự hiện diện của khoảng thưa không chỉ đơn thuần là vấn đề thẩm mỹ mà còn là dấu hiệu của sự mất cân bằng về thể tích, cụ thể là sự chênh lệch giữa kích thước răng và kích thước cung hàm , hoặc là sự bất ổn định của mô nha chu. Việc chẩn đoán chính xác mức độ và nguyên nhân của khoảng thưa là nền tảng để nha sĩ xây dựng phác đồ điều trị triệt để, đảm bảo răng không chỉ đều mà còn ổn định lâu dài.
Nguyên nhân gây ra tình trạng răng thưa
Răng thưa là kết quả của sự tương tác giữa các yếu tố sinh học, bệnh lý, và thói quen chức năng. Các nguyên nhân chính được phân thành ba nhóm:
Nguyên nhân Bẩm sinh và Di truyền (Cơ học cấu trúc)
Sự sai lệch cấu trúc bẩm sinh là yếu tố quyết định lớn nhất. Khi có sự thiếu răng bẩm sinh (ví dụ: thiếu răng cửa bên), các răng còn lại có xu hướng mọc sai vị trí, tạo ra khoảng hở. Ngoài ra, nếu kích thước xương hàm quá lớn so với kích thước răng (răng nhỏ), các răng không thể lấp đầy toàn bộ cung hàm, dẫn đến hình thành các khe hở ở nhiều vị trí. Sự hiện diện của răng mọc ngầm, mọc lệch hoặc răng dư (răng thừa) cũng có thể tạo ra lực đẩy, xô lệch các răng vĩnh viễn ra xa nhau, làm tăng khoảng trống giữa chúng.

Nguyên nhân do Bệnh lý Nha chu
Các bệnh lý về nướu và mô nâng đỡ răng có vai trò đáng kể trong việc gây ra hoặc làm trầm trọng thêm tình trạng răng thưa. Cụ thể, viêm nướu, viêm nha chu, và tụt lợi gây ra sự mất mát mô nâng đỡ (xương ổ răng), khiến chân răng lỏng lẻo và lộ ra nhiều hơn. Khi mô nâng đỡ suy yếu, răng dễ dàng dịch chuyển, dẫn đến sự xuất hiện của kẽ hở giữa các răng.
Nguyên nhân do Thói quen chức năng
Một số thói quen hàng ngày có thể tạo ra áp lực đẩy liên tục lên răng. Ví dụ, thói quen đẩy lưỡi mạnh lên mặt trong của răng cửa có thể dần dần đẩy răng ra phía trước, gây ra khoảng thưa. Bên cạnh đó, các nghiên cứu chỉ ra rằng việc sử dụng tăm xỉa răng không đúng cách hoặc lạm dụng chỉ nha khoa sai kỹ thuật có thể gây tổn thương nướu, làm tăng khoảng cách giữa hai răng theo thời gian. Các yếu tố liên quan đến thói quen và bệnh lý là những vấn đề cần được kiểm soát và điều trị trước khi tiến hành chỉnh nha, nhằm đảm bảo kết quả ổn định lâu dài.
Ảnh hưởng của răng thưa đến sức khỏe & cuộc sống
Răng thưa gây ra những hệ lụy phức tạp, không chỉ giới hạn ở khía cạnh thẩm mỹ mà còn tác động sâu sắc đến chức năng và sức khỏe tổng thể.
Trước hết, về mặt thẩm mỹ và tâm lý, răng cửa là yếu tố quan trọng đối với sự cân xứng và vẻ ngoài của khuôn mặt. Khoảng hở lớn giữa các răng gây mất tự tin nghiêm trọng khi giao tiếp và cười, ảnh hưởng trực tiếp đến yếu quả công việc và học tập.
Thứ hai, răng thưa làm giảm chức năng ăn nhai. Sự phân bố lực nhai không đều do khớp cắn bị sai lệch có thể dẫn đến tổn thương khớp thái dương hàm và xương hàm theo thời gian.
Quan trọng hơn, răng thưa làm tăng nguy cơ mắc các bệnh lý nha chu. Các kẽ răng lớn tạo điều kiện lý tưởng cho thức ăn dính vào và mắc lại. Nếu vệ sinh không kỹ, mảng bám và vi khuẩn phát triển mạnh, gây sâu răng, viêm nướu, và viêm nha chu. Đây là cơ chế lâm sàng dẫn đến sự mất ổn định của răng. Cuối cùng, khi răng không còn sự liên kết chặt chẽ trên cung hàm, chúng có xu hướng dịch chuyển và yếu đi, lâu dần có thể dẫn đến lỏng lẻo và rụng răng sớm. Do đó, việc khắc phục răng thưa là cần thiết để bảo vệ sức khỏe nha chu về lâu dài.
Các phương pháp khắc phục răng thưa hiện nay
Hiện nay, có ba phương pháp nha khoa phổ biến được sử dụng để điều trị răng thưa, mỗi phương pháp có ưu và nhược điểm riêng, phù hợp với các mức độ thưa và yêu cầu khác nhau của bệnh nhân.
Trám răng Composite – ưu, nhược điểm
Trám răng sử dụng vật liệu composite để đắp và tạo hình ở kẽ răng, làm cho răng có vẻ to hơn để lấp đầy khoảng trống. Phương pháp này phù hợp nhất cho các khe thưa nhỏ, thường dưới 2mm, và được coi là giải pháp nhanh chóng, không xâm lấn.

Ưu điểm: Phương pháp này được đánh giá cao vì tính bảo tồn tối đa, hoàn toàn không xâm lấn sâu vào tủy răng hay mài men răng. Quy trình trám composite rất nhanh gọn, chỉ kéo dài khoảng 15–20 phút. Vật liệu composite hiện đại rất lành tính, an toàn, không chứa kim loại và không gây kích ứng mô nướu trong môi trường miệng.
Nhược điểm: Miếng trám composite có độ bền và tuổi thọ thấp hơn so với các phương pháp khác. Đặc biệt, vật liệu này dễ bị thay đổi màu sắc và nhiễm màu theo thời gian bởi thức uống sẫm màu như trà, cà phê, làm mất đi vẻ đẹp tự nhiên của răng. Phương pháp này không áp dụng được cho các khe thưa lớn hoặc các trường hợp sai lệch khớp cắn phức tạp.
Bọc răng sứ
Bọc răng sứ là giải pháp phục hình sử dụng mão răng sứ lắp vào sau khi mài nhỏ răng thật để tạo thành trụ nâng đỡ.

Ưu điểm: Răng sứ, đặc biệt là toàn sứ, mang lại tính thẩm mỹ rất cao, với màu sắc đẹp tự nhiên và độ bền màu ổn định theo thời gian. Thời gian thực hiện phương pháp này rất nhanh chóng, thường chỉ mất vài ngày để hoàn thiện, và giúp cải thiện tốt chức năng ăn nhai. Phương pháp này lý tưởng nếu răng thưa đi kèm với các khuyết tật hình dáng khác như răng mòn hoặc xỉn màu.
Nhược điểm: Nhược điểm lớn nhất là tính xâm lấn. Để bọc sứ, bác sĩ bắt buộc phải mài nhỏ răng thật, tác động đến cấu trúc răng gốc. Điều này có thể gây ra tình trạng ê buốt hoặc nhạy cảm cho răng, đặc biệt với những người có cơ địa nhạy cảm. Răng sứ có tuổi thọ giới hạn, khoảng 10–20 năm với loại tốt, và sau đó cần phải thay thế. Hơn nữa, bọc sứ chỉ nên áp dụng cho răng thưa nhẹ và không phù hợp với các trường hợp lệch khớp cắn nghiêm trọng hoặc sai lệch xương hàm.
Niềng răng thưa
Niềng răng sử dụng hệ thống khí cụ để dịch chuyển răng về vị trí mong muốn, đóng khít khoảng thưa. Phương pháp chỉnh nha là một can thiệp sinh học toàn diện, khác biệt cơ bản so với các giải pháp phục hình như trám hoặc bọc sứ. Nếu mục tiêu ưu tiên là giải quyết triệt để nguyên nhân do sai lệch vị trí răng và bảo tồn tối đa cấu trúc răng thật, niềng răng là giải pháp vượt trội. Niềng răng giải quyết cả vấn đề chức năng (khớp cắn) và thẩm mỹ một cách toàn diện. Đối với trường hợp răng thưa nặng và phức tạp, niềng răng là lựa chọn duy nhất để đạt được kết quả ổn định và lâu dài.

Vì sao nên chọn niềng răng thưa?
Niềng răng là tiêu chuẩn vàng trong điều trị răng thưa vì nó mang lại hiệu quả sinh học và cấu trúc vượt trội, tập trung vào việc bảo tồn và ổn định lâu dài.
Lợi ích hàng đầu của niềng răng là bảo tồn cấu trúc răng thật tuyệt đối. Khác với bọc sứ phải mài răng, niềng răng sử dụng lực sinh học nhẹ nhàng để di chuyển răng, giữ nguyên vẹn cấu trúc răng vĩnh viễn. Điều này tránh được các rủi ro về ê buốt và sự nhạy cảm của răng sau này.
Thứ hai, niềng răng mang lại hiệu quả triệt để và lâu dài. Bằng cách đưa răng về vị trí chuẩn và khít sát vào nhau, niềng răng không chỉ đóng khít khe thưa vĩnh viễn mà còn thiết lập lại khớp cắn đúng, từ đó cải thiện chức năng nhai và sức khỏe nha chu.
Thứ ba, niềng răng cho phép khắc phục đồng thời nhiều vấn đề. Nếu bệnh nhân có thêm các vấn đề khác như hô, móm, hoặc răng lệch lạc, niềng răng có thể giải quyết tất cả trong một phác đồ điều trị. Đối với một số trường hợp sai lệch nặng do xương hàm, niềng răng còn có khả năng cải thiện cấu trúc xương hàm, dẫn đến sự cân đối hơn cho gương mặt sau khi điều trị. Các khí cụ chỉnh nha hiện đại cũng được chế tạo từ vật liệu an toàn và lành tính, không gây kích ứng cho mô mềm khoang miệng.
Các phương pháp niềng răng thưa phổ biến
Việc lựa chọn phương pháp niềng răng phù hợp cần căn cứ vào mức độ thưa, nhu cầu thẩm mỹ, và khả năng tài chính của từng bệnh nhân.
Niềng mắc cài kim loại
Đây là phương pháp truyền thống và phổ biến nhất, sử dụng mắc cài và dây cung làm từ hợp kim kim loại. Phương pháp này được biết đến với độ bền và lực kéo mạnh mẽ, ổn định, rất phù hợp với hầu hết các trường hợp răng thưa phức tạp, hô, móm nặng. Ưu điểm nổi bật nhất của mắc cài kim loại là chi phí tiết kiệm nhất trong các loại niềng. Nhược điểm chính là tính thẩm mỹ kém do mắc cài kim loại dễ nhận thấy khi giao tiếp.

Niềng mắc cài sứ/thẩm mỹ
Phương pháp này có cơ chế hoạt động tương tự mắc cài kim loại nhưng mắc cài được làm từ sứ cao cấp hoặc vật liệu có màu gần với màu răng thật. Mắc cài sứ đảm bảo hiệu quả chỉnh nha tốt, đáp ứng yêu cầu thẩm mỹ cao hơn so với mắc cài kim loại, thích hợp cho những người có công việc giao tiếp thường xuyên. Tuy nhiên, chi phí cao hơn và mắc cài sứ dễ bị nứt vỡ nếu lực ăn nhai quá mạnh.
Niềng mắc cài tự buộc
Mắc cài tự buộc sử dụng một hệ thống khóa trượt hoặc cánh tự đóng để cố định dây cung vào mắc cài mà không cần đến dây thun. Điều này giúp giảm ma sát, tạo ra lực tác động nhẹ nhàng, liên tục, giúp răng dịch chuyển nhanh hơn và giảm cảm giác đau. Hệ thống này cũng giảm số lần tái khám vì dây cung không bị giãn như dây thun cố định, rất phù hợp cho bệnh nhân bận rộn. Ngoài ra, việc vệ sinh răng miệng cũng dễ dàng hơn do ít cặn thức ăn mắc lại.

Niềng răng trong suốt Invisalign
Invisalign là phương pháp chỉnh nha không mắc cài, sử dụng chuỗi khay niềng trong suốt được thiết kế riêng biệt dựa trên công nghệ kỹ thuật số 3D tiên tiến (Clincheck).
- Ưu điểm: Phương pháp này mang lại tính thẩm mỹ tối đa, gần như vô hình, là lựa chọn lý tưởng cho những người đòi hỏi cao về ngoại hình khi giao tiếp. Khay niềng có thể tháo lắp dễ dàng khi ăn uống và vệ sinh, giúp giảm thiểu nguy cơ mắc các bệnh lý nha chu.
- Nhược điểm: Nhược điểm lớn nhất của Invisalign là chi phí đắt đỏ, có thể gấp 3–5 lần so với mắc cài kim loại truyền thống. Hơn nữa, phương pháp này đòi hỏi sự tuân thủ nghiêm ngặt từ bệnh nhân, cần đeo khay đủ 22 giờ mỗi ngày mới đảm bảo hiệu quả theo đúng phác đồ điều trị. Đối với các trường hợp răng thưa có sai lệch mức độ quá phức tạp, hiệu quả có thể không cao bằng niềng răng mắc cài.
Niềng răng thưa mất bao lâu? Có đau không?
Thời gian niềng răng thưa
Thời gian niềng răng thưa thường kéo dài từ 12 đến 24 tháng. Tuy nhiên, tổng thời gian có thể thay đổi đáng kể tùy thuộc vào nhiều yếu tố lâm sàng và hành vi của bệnh nhân.
Nếu tình trạng răng thưa ở mức độ nhẹ hoặc trung bình, thời gian điều trị có thể rút ngắn, chỉ từ 6 tháng đến hơn 1 năm. Ngược lại, những ca thưa nặng, đi kèm với sai lệch khớp cắn hoặc cần xử lý răng ngầm, thời gian niềng răng có thể kéo dài đến 2 năm hoặc lâu hơn.

Yếu tố quan trọng ảnh hưởng đến thời gian điều trị là độ tuổi. Niềng răng ở trẻ em (12-16 tuổi) thường nhanh hơn do xương hàm đang phát triển và có tính đàn hồi. Trong khi đó, ở người trưởng thành, xương hàm đã cứng chắc, khiến quá trình dịch chuyển răng diễn ra chậm hơn và phức tạp hơn. Sự tuân thủ của bệnh nhân đối với lịch tái khám, chế độ vệ sinh, và việc đeo khay niềng (đối với Invisalign) đủ 22 giờ/ngày cũng là yếu tố quyết định tốc độ thành công của quá trình điều trị.
Vấn đề đau nhức khi niềng răng
Niềng răng là quá trình sử dụng lực tác động để di chuyển răng, do đó, cảm giác đau nhức và khó chịu là không thể tránh khỏi, nhưng nó thường không kéo dài và hoàn toàn có thể kiểm soát được.
Cảm giác khó chịu nhất thường xuất hiện trong vài ngày đầu tiên sau khi gắn khí cụ hoặc sau mỗi lần điều chỉnh lực (siết răng) tại phòng khám. Bệnh nhân có thể gặp các vấn đề khác như khó khăn trong ăn uống, kích ứng nướu và má, hoặc phát triển vết loét miệng do mắc cài cọ xát. Để giảm thiểu các vấn đề này, nha sĩ thường khuyến nghị sử dụng sáp nha khoa để che chắn các phần nhọn của niềng răng. Việc hiểu rõ tính chất cơn đau và có biện pháp phòng ngừa kịp thời sẽ giúp quá trình niềng răng diễn ra suôn sẻ và bệnh nhân duy trì động lực điều trị.
Quy trình niềng răng thưa chuẩn nha khoa
Quy trình niềng răng thưa chuẩn nha khoa là một chuỗi các giai đoạn nghiêm ngặt, đòi hỏi độ chính xác cao trong chẩn đoán và lập kế hoạch điều trị:
Bước 1: Thăm khám với máy X quang hiện đại
Sau khi kiểm tra tổng quát, khách hàng khi đến với Nha Khoa sẽ được bác sĩ hướng dẫn thực hiện chụp phim X quang Panoramic và Cephalometric để xem cấu trúc răng hàm một các cụ thể, xác định tình trạng và nguyên nhân gây khuyết điểm răng thưa.
Bước 2: Lập kế hoạch điều trị bằng phần mềm Vceph 3D
Phần mềm Vceph 3D của Mỹ sẽ được ứng dụng để phân tích những số liệu có được sau khi thăm khám răng, từ đó lên kế hoạch chỉnh nha răng thưa rõ ràng.
Bước 3: Ký hợp đồng niềng răng thưa
Chỉ có tại Nha Khoa Cường Nhân, khách hàng mới được ký hợp đồng niềng răng thưa. Bản hợp đồng này sẽ quy định rõ về phương pháp áp dụng, thời gian, mức độ dịch chuyển răng qua từng giai đoạn, chi phí để đảm bảo về tiến độ, tránh sai lệch cũng như chứng minh chất lượng dịch vụ tại nha khoa.
Bước 4: Vệ sinh răng miệng, lấy dấu mẫu hàm thiết kế khí cụ niềng răng
Khách hàng được vệ sinh răng miệng và điều trị bệnh nha chu nếu có. Sau đó, bác sĩ sẽ tiến hành lấy dấu mẫu hàm với công nghệ Scan 3D và chuyển các số liệu sang Labo, chế tạo hệ thống mắc cài hoặc khay niềng răng cho phù hợp cho từng khách hàng.
Bước 5: Gắn khí cụ niềng răng thưa và lưu ý chăm sóc
Hệ thống mắc cài hoặc khay niềng sẽ được gắn lên răng và cân chỉnh sao cho tạo ra lực nắn chỉnh hiệu quả và ổn định. Bên cạnh đó, trước khi ra về, khách hàng cũng sẽ được lưu ý cụ thể các cách chăm sóc răng và hẹn lịch tái khám.
Lưu ý quan trọng sau khi niềng răng thưa
Giai đoạn sau khi tháo niềng, còn gọi là giai đoạn duy trì, có vai trò quyết định đến sự ổn định vĩnh viễn của kết quả điều trị.

Tuân thủ việc đeo hàm duy trì: Đối với các ca niềng răng đóng khe thưa, nguy cơ tái phát (chạy lại) được đánh giá là cao do các thớ cơ và dây chằng nha chu có xu hướng kéo răng về vị trí cũ. Do đó, việc sử dụng hàm duy trì là bắt buộc để cố định răng tại vị trí mới, cho phép mô nha chu và xương hàm tái tạo và ổn định hoàn toàn. Bệnh nhân thường được chỉ định đeo hàm duy trì liên tục 24/24 giờ trong giai đoạn đầu.
Chăm sóc vệ sinh răng miệng nghiêm ngặt: Việc vệ sinh là yếu tố then chốt cho sự thành công lâm sàng. Bệnh nhân cần đánh răng ít nhất hai lần mỗi ngày bằng bàn chải lông mềm và kết hợp sử dụng chỉ nha khoa (hoặc máy tăm nước) và nước súc miệng. Điều này đặc biệt quan trọng để loại bỏ mảng bám ở các kẽ răng đã được đóng khít, nơi vi khuẩn dễ tích tụ, từ đó tránh phát sinh bệnh lý nha chu có thể làm suy yếu cấu trúc nâng đỡ răng.
Chế độ ăn uống và thói quen: Nên tránh sử dụng răng trám hoặc răng vừa niềng xong để cắn hoặc xé thức ăn quá dai, cứng nhằm tránh bung mắc cài hoặc gây hại cho răng còn nhạy cảm. Việc hạn chế đồ uống có màu sẫm như trà, cà phê, và thuốc lá cũng cần thiết để bảo vệ thẩm mỹ, đặc biệt nếu có miếng trám composite hoặc mắc cài sứ. Bệnh nhân cũng cần bỏ thói quen xấu như nghiến răng.
Chi phí niềng răng thưa 2025 tại Nha Khoa Cường Nhân
Chi phí niềng răng thưa có sự dao động lớn trên thị trường, từ 35.000.000 VNĐ đến 121.000.000 VNĐ/nguyên hàm tùy thuộc vào phương pháp và mức độ phức tạp của ca. Nha Khoa Cường Nhân cung cấp bảng giá minh bạch, bao gồm đầy đủ các giải pháp chỉnh nha hiện đại, cho phép bệnh nhân lựa chọn phương án phù hợp nhất với nhu cầu thẩm mỹ và ngân sách.
| STT | Dịch vụ chỉnh nha | Đơn vị | Giá tham khảo |
| 1 | Trainer | Khí cụ | 5.000.000 VNĐ |
| 2 | Khí cụ Hawley | Khí cụ | 4.000.000 VNĐ – 8.000.000 VNĐ |
| 3 | Cung Nance | Khí cụ | 4.000.000 VNĐ |
| 4 | Cung lưỡi | Khí cụ | 5.000.000 VNĐ |
| 5 | Bộ giữ khoảng | Khí cụ | 3.000.000 VNĐ |
| 6 | Facemask | Khí cụ | 10.000.000 VNĐ |
| 7 | Headgear | Khí cụ | 10.000.000 VNĐ |
| 8 | Dựng trục, di xa, di gần | Răng | 7.000.000 VNĐ |
| 9 | Trồi, lún răng | Răng | 10.000.000 VNĐ |
| 10 | Mắc cài kim loại thường | 2 hàm | 30.000.000 VNĐ – 50.000.000 VNĐ |
| 11 | Mắc cài kim loại tự buộc | 2 hàm | +5.000.000 VNĐ |
| 12 | Mắc cài sứ tự buộc | 2 hàm | +8.000.000 VNĐ |
| 13 | Mắc cài mặt lưỡi | 2 hàm | 40.000.000 VNĐ – 70.000.000 VNĐ |
| 14 | Niềng răng không mắc cài Invisalign | 2 hàm | 70.000.000 VNĐ – 120.000.000 VNĐ |
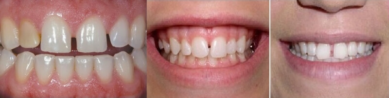
Hình ảnh trước – sau niềng răng thưa
Hình ảnh lâm sàng về kết quả niềng răng thưa cho thấy sự dịch chuyển đáng kinh ngạc của răng trên cung hàm. Trước khi niềng, hình ảnh thường minh họa các khe thưa rõ rệt, đặc biệt là ở răng cửa hàm trên, gây mất cân đối nụ cười. Sau quá trình niềng, các khe thưa được đóng khít hoàn toàn, răng trở nên thẳng hàng, cân đối, và khớp cắn được cải thiện rõ rệt, mang lại nụ cười thẩm mỹ và chức năng nhai ổn định.

Các câu hỏi thường gặp về niềng răng thưa
Niềng răng thưa có cần nhổ răng không?
Trong đa số các trường hợp niềng răng thưa, việc nhổ răng là không cần thiết. Nguyên nhân là vì răng thưa vốn dĩ đã có khoảng trống trên cung hàm. Tuy nhiên, chỉ định nhổ răng có thể được áp dụng nếu ca răng thưa đi kèm với các vấn đề khác như răng mọc chen chúc, sai khớp cắn nghiêm trọng (hô, móm), nơi cần thêm khoảng trống để tối ưu hóa kết quả dịch chuyển và cân đối khuôn mặt. Nhổ bỏ răng khôn hoặc răng ngầm cản trở cũng là chỉ định thường gặp trước khi niềng.
Bao nhiêu tuổi thì niềng răng hiệu quả nhất?
Độ tuổi lý tưởng nhất để niềng răng là từ 12 đến 16 tuổi. Trong giai đoạn này, hệ thống sọ mặt và xương hàm của trẻ đang phát triển, có tính đàn hồi cao, giúp răng dịch chuyển nhanh chóng và dễ dàng đạt được sự thay đổi cấu trúc hàm tối ưu. Mặc dù vậy, niềng răng thưa vẫn hoàn toàn hiệu quả ở người lớn (từ 17 đến 35 tuổi trở lên). Dù xương hàm đã cứng chắc, niềng răng người lớn vẫn mang lại kết quả thẩm mỹ và chức năng tuyệt vời, chỉ là thời gian điều trị có thể kéo dài hơn một chút.
Niềng răng thưa có bị chạy lại không?
Răng thưa, đặc biệt là các khe thưa lớn, có nguy cơ tái phát (chạy lại) cao hơn so với các loại sai lệch khác. Điều này là do các mô mềm, dây chằng nha chu và cơ xung quanh có “trí nhớ” và có xu hướng kéo răng về vị trí ban đầu. Để ngăn chặn tình trạng này, việc sử dụng hàm duy trì (Retainer) sau khi tháo niềng là bắt buộc, vì nó là yếu tố lâm sàng quyết định độ bền vững của kết quả chỉnh nha.
Có cần đeo hàm duy trì bao lâu?
Thời gian đeo hàm duy trì tùy thuộc vào mức độ sai lệch ban đầu. Đối với các trường hợp niềng răng đóng khe thưa và các ca phức tạp khác, bệnh nhân cần đeo hàm duy trì liên tục 24/24 giờ (chỉ tháo khi ăn uống và vệ sinh) trong giai đoạn đầu, thường kéo dài từ 6 tháng đến 1 năm. Sau đó, số giờ đeo sẽ được giảm dần theo chỉ định của bác sĩ (chủ yếu đeo vào ban đêm). Tổng thời gian đeo hàm duy trì thường kéo dài ít nhất 1–1.5 năm hoặc lâu hơn, cho đến khi xương hàm và mô nha chu ổn định hoàn toàn tại vị trí mới.
Kinh nghiệm niềng răng thưa từ khách hàng
Kinh nghiệm thực tế từ những người đã trải qua niềng răng thưa cho thấy, sự thành công không chỉ phụ thuộc vào tay nghề bác sĩ mà còn ở sự chuẩn bị và tuân thủ của bệnh nhân.
Một trong những vấn đề thường gặp nhất là cảm giác đau nhức và khó chịu ban đầu. Khách hàng khuyên nên sử dụng sáp nha khoa ngay lập tức để che chắn các góc nhọn của mắc cài, tránh gây kích ứng nướu và má. Trong những ngày đầu tiên hoặc sau khi siết răng, nên ưu tiên các loại thực phẩm mềm, lỏng.
Kinh nghiệm thứ hai là duy trì vệ sinh nghiêm ngặt. Khí cụ chỉnh nha dễ giữ lại thức ăn, dẫn đến mảng bám và viêm nướu. Việc đầu tư vào các dụng cụ vệ sinh chuyên dụng (bàn chải kẽ, máy tăm nước) là bắt buộc. Vệ sinh kém có thể gây ra bệnh lý nha chu, làm gián đoạn và kéo dài thời gian niềng răng.
Cuối cùng, sự tuân thủ lịch tái khám là tối quan trọng. Việc trì hoãn tái khám sẽ làm gián đoạn lực kéo, khiến răng dịch chuyển chậm lại, kéo dài tổng thời gian điều trị. Đối với niềng răng trong suốt, cam kết đeo khay đủ 22 giờ mỗi ngày là yếu tố quyết định để đạt được kết quả theo đúng phác đồ của bác sĩ.
Nha khoa Cường Nhân – đơn vị niềng răng uy tín tại Bình Dương
Nha Khoa Cường Nhân, hay Nha Khoa BS Cường, là một đơn vị nha khoa uy tín tại Bình Dương, chuyên sâu trong các lĩnh vực phức tạp như Chỉnh nha (niềng răng) và Cấy ghép Implant.
Nha Khoa Cường Nhân khẳng định cam kết chuyên môn sâu bằng việc cung cấp đầy đủ các giải pháp niềng răng hiện đại nhất. Phòng khám cung cấp đa dạng các loại hình niềng răng, từ mắc cài kim loại truyền thống, mắc cài tự buộc (kim loại và sứ), đến niềng răng mặt lưỡi và niềng răng trong suốt Invisalign. Sự đa dạng này cho phép phòng khám xử lý mọi ca răng thưa, bất kể mức độ phức tạp, và đáp ứng mọi yêu cầu về tính thẩm mỹ của bệnh nhân.
Đội ngũ bác sĩ tại Nha Khoa Cường Nhân có kinh nghiệm sâu rộng, am tường về sự phát triển của hệ thống sọ mặt và tác động cơ học của từng loại khí cụ, yếu tố nền tảng để lập phác đồ điều trị tối ưu. Sự minh bạch trong tư vấn lâm sàng và chi phí, cùng với việc thường xuyên chia sẻ kiến thức chuyên môn về các vấn đề thường gặp khi niềng răng , góp phần xây dựng lòng tin và khẳng định chất lượng dịch vụ chuyên sâu tại khu vực Bình Dương.
Niềng răng thưa là một can thiệp chỉnh nha có hiệu quả triệt để và mang lại sự ổn định lâu dài nhất, đồng thời bảo tồn tối đa cấu trúc răng thật. Mặc dù thời gian điều trị kéo dài và đòi hỏi sự tuân thủ nghiêm ngặt, đặc biệt là trong giai đoạn đeo hàm duy trì. Niềng răng là giải pháp duy nhất có thể cải thiện đồng thời cả thẩm mỹ, chức năng ăn nhai, và cấu trúc khớp cắn. Sự lựa chọn phương pháp niềng nên dựa trên sự cân bằng giữa yêu cầu thẩm mỹ và khả năng tài chính cá nhân. Việc thăm khám và chẩn đoán chính xác tại các cơ sở nha khoa uy tín, chẳng hạn như Nha Khoa Cường Nhân. Nơi cung cấp đa dạng các phương pháp và chuyên môn sâu, là bước đầu tiên để đảm bảo quá trình niềng răng thưa diễn ra thành công và đạt được nụ cười hoàn hảo.
- Nong hàm bằng dây cung là gì? Khi nào cần áp dụng trong chỉnh nha? - Tháng 3 9, 2026
- Cách sử dụng chỉ nha khoa đúng cách: Hướng dẫn chi tiết - Tháng 3 9, 2026
- Nong hàm có đau không? Giải đáp chi tiết, dễ hiểu trước khi bước vào chỉnh nha - Tháng 3 2, 2026
